14 年
手机商铺
公司新闻/正文
453 人阅读发布时间:2023-07-17 16:34
我们辛辛苦苦养好的类器官,该如何做鉴定呢?通常是HE染色和免疫组化染色。今天小编带大家了解一下类器官如何进行包埋及HE染色。
一、类器官收集

1、类器官收集(例如24孔板,收集1-2孔类器官,大约200-500个类器官);
2、4℃静置 10min,离心弃去大部分上清。
二、琼脂糖凹槽制备
1、称量0.2至0.4g琼脂糖,加入至烧杯或者小试剂瓶内;
2、加入10mL左右PBS;
3、微波炉高火融化,每隔5s暂停打开,观察,重复数次至琼脂糖融化完全;
4、取约200uL融化琼脂糖,加入至600uL 1.5ml EP管内(如下图所示);
5、在盛有琼脂糖的1.5ml EP管内插入一小0.5ml EP管,使琼脂糖形成一圆尖底凹槽,室温或者4℃冰箱静置数分钟,至琼脂糖凝固,轻轻转动小0.5ml EP管,取出0.5ml EP管,可看到琼脂糖内形成一个深圆尖底槽;
6、吸取类器官沉淀置于凹槽底部,尽量包埋在中间位置;
7、加入PBS至高于琼脂糖槽的边缘。

三、类器官固定

四、类器官包埋
1、脱水:取出已凝固的含有类器官沉淀的琼脂糖块,在梯度乙醇中脱水,70%、80%、90%和95%乙醇各1h,100%乙醇30min,待其凝固;
2、融蜡:提前4h左右打开烘箱,65℃溶蜡;
3、透明:将脱水完成后的琼脂糖块转移至组织包埋盒中(DMB处理前需一直浸泡在无水乙醇中),将包埋盒转移至DMB中5min处理两次;注:因DMB有毒性,需在通风良好区域进行操作,取出时尽量沥尽残留DMB;
4、浸蜡:透明化处理完成后立即转入已经融化的蜡缸中,60℃浸蜡2h后,更换新的蜡缸再次浸蜡2h;
5、包埋:包埋在冰盒上进行,将融好的纯蜡倒入蜡盒三分之一处,将琼脂块放置于中间位置,然后再滴蜡包埋直到倒满。待蜡块完全凝固后,小心脱下模具。

五、类器官HE染色
1、石蜡切片脱蜡至水
依次将切片放入DMB I 10min;DMB Ⅱ10min;无水乙醇Ⅰ5min;无水乙醇Ⅱ5min;95%酒精5min;90%酒精5min;80%酒精5min;70%酒精5min;蒸馏水洗。
2、苏木素染细胞核
切片入Harris苏木素染3-8min,自来水洗。
3、伊红染细胞质
切片入伊红染液中染色1-3min,自来水洗。
4、脱水封片
将切片依次放入95%酒精I 5min ;95%酒精II 5min;无水乙醇Ⅰ5min ;无水乙醇Ⅱ5min ;DMBⅠ5min ;DMB Ⅱ 5min中脱水透明,将切片从DMB拿出来稍晾干,中性树胶封片。
5、显微镜镜检,图像采集分析

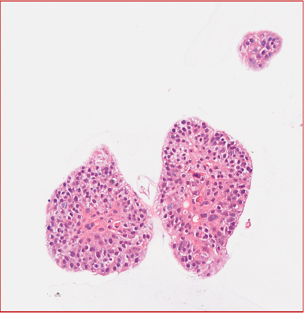
六、类器官鉴定-HE染色结果(以肺癌为例)

人肺癌类器官HE染色
今天讲解就到这了,大家如有类器官包埋及HE染色问题,欢迎入群交流哦!

| 货号 |
品名 |
规格 |
| 琼脂糖 |
100g |
|
| 石蜡 |
500g |
|
| 1×PBS缓冲液 |
500ml/500ml*10 |
|
| 伊红染液 |
100ml |
|
| 苏木素染液 |
100ml /500ml |
|
| 中性树胶 |
100ml/ 100ml×10 |
|
| 1.5ml离心管(无菌无酶) |
1袋/箱 |
|
| 0.5ml离心管(无菌无酶) |
1袋/箱 |
|
| Organotial人肝癌类器官培养基试剂盒 |
1kit |
|
| Organotial人结直肠癌类器官培养基试剂盒 |
1kit |
|
| Organotial人肺癌类器官培养基试剂盒 |
1kit |
|
| Organotial人胃癌类器官培养基试剂盒 |
1kit |
|
| Organotial人胰腺癌类器官培养基试剂盒 |
1kit |
|
| Organotial人鼻咽癌类器官培养基试剂盒 |
1kit |
|
| Organotial人乳腺癌类器官培养基试剂盒 |
1kit |
|
| Organotial人卵巢癌类器官培养基试剂盒 |
1kit |
|
| Organotial人宫颈癌类器官培养基试剂盒 |
1kit |
|
| Organotial人子宫内膜癌类器官培养基试剂盒 |
1kit |
|
| Organotial人脑胶质瘤类器官培养基试剂盒 |
1kit |
|
| Organotial人前列腺癌类器官培养试剂盒 |
1kit |
好消息!Absin文献奖励重磅升级!
Absin特色产品线:
| 爱必信(上海)生物科技有限公司 联系邮箱:info@absin.cn 微信公众号:爱必信生物 |