14 年
手机商铺
公司新闻/正文
204 人阅读发布时间:2026-01-19 15:32
在非小细胞肺癌(NSCLC)临床治疗中,一个棘手的难题始终困扰着医生和患者:化疗耐药后,后续的免疫治疗往往也 “失效”。据统计,约 70% 的癌症患者会出现多药耐药,其中 NSCLC 患者化疗后对 PD-(L) 1 抑制剂的交叉耐药,更是让治疗陷入 “无药可用” 的困境。究竟是什么机制导致了这种 “双重耐药”?如何找到破解之法?
近期,发表于《Drug Resistance Updates》的一项研究给出了突破性答案 ——肿瘤微环境(TME)中腺苷 - A₂AR 信号驱动肿瘤相关巨噬细胞(TAMs)代谢重编程,是介导化疗 - 免疫交叉耐药的核心 “元凶”。更关键的是,研究团队开发的新型 A₂AR 抑制剂 DL082,联合抗 PD-L1 抗体可显著逆转耐药,为 NSCLC 治疗提供了新策略。
而在这项重磅研究中,Absin 的色氨酸检测试剂盒(货号:abs580221)为验证 “TAMs 通过耗竭色氨酸抑制 T 细胞功能” 这一核心机制提供了精准的量化数据支持,成为连接机制解析与治疗策略的重要桥梁。
文献标题:Metabolic reprogramming of tumor-associated macrophages via adenosine-A2AR signaling drives cross-resistance in non-small cell lung cancer
发表期刊:Drug Resistance Updates(IF 21.7)
DOI:10.1016/j.drup.2025.101272
核心试剂:色氨酸检测试剂盒(abs580221)

研究团队以 “NSCLC 化疗后免疫治疗失效” 为核心问题,采用 “临床现象→动物模型→细胞机制→药物验证” 的经典科研逻辑,逐步揭开交叉耐药的面纱:
研究首先构建了紫杉醇耐药的 NSCLC 小鼠模型(LLC1 细胞)和人肺癌细胞模型(A549R)。通过免疫荧光、流式细胞术等实验发现:
为找到驱动 TAMs 堆积的 “元凶”,研究团队收集了耐药肿瘤的间质液(TIFs)和细胞上清(TSNs),与巨噬细胞共培养:
腺苷的产生依赖 CD39(将 ATP 转化为 AMP)和 CD73(将 AMP 转化为腺苷)。研究发现:
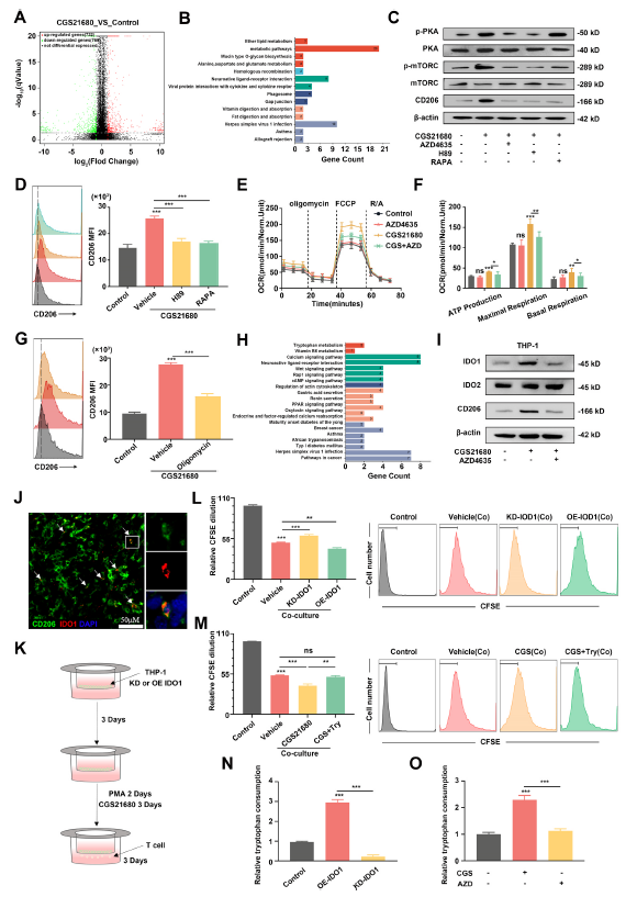
TAMs 如何抑制 T 细胞功能?研究通过 RNA 测序发现,腺苷 - A₂AR 激活后,TAMs 的色氨酸代谢通路显著富集。进一步验证:

图:腺苷-A₂AR 信号诱导 TAMs 高表达 IDO1 及色氨酸耗竭检测结果
研究证实:化疗耐药会导致肿瘤细胞高表达 CD39/CD73,促进腺苷堆积;腺苷通过 A₂AR 诱导 TAMs 代谢重编程(高表达 IDO1),耗竭色氨酸并抑制 T 细胞活化,最终导致免疫治疗(抗 PD-L1)失效。

图:化疗耐药肿瘤对 PD-L1 抗体的交叉耐药及 TAMs 清除后的逆转效果

图:A₂AR 拮抗剂(AZD4635)恢复 CD8⁺T 细胞杀伤能力及细胞因子分泌
研究团队开发的新型 A₂AR 抑制剂 DL082,比临床在研药物 AZD4635 具有更高的 A₂AR 选择性和亲和力:

图:DL082 单药及联合治疗对耐药肿瘤的抑制效果
在这项研究中,“TAMs 通过 IDO1 耗竭色氨酸抑制 T 细胞” 是连接 “腺苷 - A₂AR 信号” 与 “免疫抑制” 的核心环节,而 Absin 的色氨酸检测试剂盒(货号:abs580221)正是验证这一环节的 “金标准” 工具。
| 实验目的 | 实验结果 |
|---|---|
| 验证 IDO1 对色氨酸的消耗 | IDO1 过表达组:色氨酸浓度显著降低;IDO1 敲降组:色氨酸浓度显著升高 |
| 验证 A₂AR 信号对色氨酸耗竭的调控 | 腺苷激动剂(CGS21680)处理:色氨酸消耗增加;A₂AR 拮抗剂(AZD4635)处理:色氨酸消耗显著减少 |
从基础科研到临床应用,高质量的实验工具是推动研究突破的关键。在这项破解 NSCLC 交叉耐药的研究中,Absin 的色氨酸检测试剂盒(abs580221)不仅为核心机制提供了精准的数据支持,更体现了 Absin “以优质产品赋能科研” 的理念。
未来,Absin 将继续聚焦肿瘤免疫、代谢调控等前沿领域,提供更多如色氨酸检测试剂盒、抗体、细胞因子检测试剂等高质量科研工具,助力全球科研团队攻克更多临床难题,推动生命科学研究向临床转化迈进。
| 产品名称 | 货号 | 应用场景 |
|---|---|---|
| 色氨酸检测试剂盒 | abs580221 | 细胞培养基、组织提取物、血清等样本中色氨酸浓度定量检测 |
| 货号 | 产品名称 | 引用文献 |
|---|---|---|
|
abs580002 |
谷丙转氨酶(ALT) 检测试剂盒 |
Int J Nanomedicine. 2025 May 21:20:6399-6421. IF:6.6 |
|
abs580003 |
碱性磷酸酶(ALP)检测试剂盒 |
Int J Nanomedicine. 2025 May 21:20:6399-6421. IF:6.6 |
|
abs580004 |
谷草转氨酶(AST)检测试剂盒 |
Biomed Pharmacother. 2024 Mar:172:116228. IF:6.9 |
|
abs580006 |
谷胱甘肽(GSH)检测试剂盒 |
J Nanobiotechnology. 2025 May 8;23(1):338. IF:10.6 |
|
abs580010 |
超氧化物歧化酶(SOD)检测试剂盒 |
Pol J Microbiol. 2025 Mar 26;74(1):60-70. IF:2 |
|
abs580011 |
丙二醛(MDA)检测试剂盒 |
Biochem Pharmacol. 2024 Apr:222:116072. IF:5.8 |
|
abs580016 |
丙酮酸检测试剂盒 |
Cancer Res. 2025 Aug 1. IF:16.6 |
|
abs580019 |
Na+/K+ ATPase活性检测试剂盒 |
Cell Rep. 2025 Apr 22;44(4):115489. IF:7.5 |
|
abs580066 |
羟脯氨酸检测试剂盒 |
Cancer Res. 2025 Aug 1. IF:16.6 |
|
abs580085 |
甘油三酯(TG)检测试剂盒 |
Mol Biol Rep. 2022 Aug;49(8):7837-7848. IF:2.742 |
|
abs580105 |
铁离子检测试剂盒 |
Cell Biol Int. 2024 Aug;48(8):1198-1211. IF:3.3 |
|
abs580117 |
ATP检测试剂盒 |
Cell Commun Signal. 2023 Aug 3;21(1):192. IF:8.4 |
|
abs580140 |
铜离子检测试剂盒 |
Adv Sci (Weinh). 2025 Jan;12(4):e2413408. IF:17.475 |
|
abs580160 |
乳酸(LA)检测试剂盒 |
Cell Commun Signal. 2024 Feb 8;22(1):101. IF:8.4 |
|
abs580197 |
尿素氮(BUN)检测试剂盒 |
ACS Nano. 2024 Aug 27;18(34):23599-23614. IF:15.8 |
|
abs580221 |
色氨酸检测试剂盒 |
Drug Resist Updat. 2025 Sep:82:101272. IF:21.7 |
|
abs580222 |
牛磺酸检测试剂盒 |
Nat Metab. 2024 Jul;6(7):1397-1414. IF:18.9 |
|
abs580226 |
辅酶Q10检测试剂盒 |
Cell Stem Cell. 2024 Dec 5;31(12):1777-1793.e9. IF:19.8 |
|
abs580236 |
乳酸脱氢酶(LDH)检测试剂盒 |
Gut Microbes.2024 Jan-Dec;16(1):2379566. IF:12.2 |
|
abs580238 |
线粒体呼吸链复合体Ⅰ活性检测试剂盒 |
NPJ Biofilms Microbiomes. 2025 May 23;11(1):86. IF:7.8 |
|
abs580241 |
线粒体呼吸链复合体Ⅳ活性检测试剂盒 |
NPJ Biofilms Microbiomes. 2025 May 23;11(1):86. IF:7.8 |

Absin产品线:
爆款产品:十大试剂盒(mIHC、IHC、凋亡、ELISA、ChIP、Co-IP、生化检测、残留检测、多因子检测);细胞培养(类器官试剂盒+基质胶,胎牛血清+培养添加剂+细胞因子)、分化试剂盒;分子(mRNA合成服务+提取试剂盒);化合物大包装;辅助试剂、耗材/仪器、定制服务(抗体/多肽/蛋白/标记/检测)...
特色产品:鸡胚提取物CEE、B27、N2、霍乱毒素B亚单位CTB、牛脑垂体提取物BPE、百日咳毒素PTX、重组人胰岛素Insulin、人源低密度脂蛋白LDL...
|
爱必信(上海)生物科技有限公司 联系邮箱:lanwu@univ-bio.com 微信公众号:爱必信生物 |
![]() |