14 年
手机商铺
公司新闻/正文
417 人阅读发布时间:2025-12-22 13:29
免疫系统是人体抵御病原体、维持内环境稳定的 “防御网络”,由免疫细胞、免疫组织和免疫器官构成,通过精准识别 “自身” 与 “非自身” 物质,实现免疫防御、监视与稳定三大核心功能,是健康的重要保障。
一、免疫系统的组成框架
核心构成要素
免疫细胞:包括淋巴细胞(T 细胞、B 细胞、NK 细胞)、巨噬细胞等,是免疫应答的执行主体。
免疫组织:以网状组织为支架,充满大量淋巴细胞及少量其他免疫细胞,分为弥散淋巴组织、淋巴小结和淋巴索三种形态。
免疫器官:分为中枢淋巴器官(胸腺、骨髓)和外周淋巴器官(淋巴结、脾、扁桃体),分别承担免疫细胞发育成熟和免疫应答的功能。

二、核心免疫细胞及其功能
淋巴细胞(免疫应答核心)
T 细胞(胸腺依赖淋巴细胞):由胸腺产生,迁入外周后分为初始 T 细胞、效应 T 细胞和记忆性 T 细胞。效应 T 细胞行使细胞免疫,直接杀伤异常细胞;记忆性 T 细胞长期保持免疫记忆,可快速响应再次入侵的抗原。
B 细胞(骨髓依赖淋巴细胞):由骨髓产生,受抗原刺激后分化为浆细胞和记忆性 B 细胞。浆细胞分泌抗体,通过体液免疫清除抗原;记忆性 B 细胞同样具备长期免疫记忆功能。
NK 细胞(自然杀伤细胞):无需抗原提呈中介,可不依赖抗体直接杀伤病毒感染细胞和肿瘤细胞,是天然免疫的重要组成部分。
辅助免疫细胞
巨噬细胞:负责吞噬病原体和衰老细胞,同时加工处理抗原并提呈给淋巴细胞,启动特异性免疫应答。
| 细胞类型 | 核心定位 | 关键功能 |
| 巨噬细胞 | “清道夫 + 警报器” | 吞噬病原体 / 衰老细胞,呈递抗原,释放细胞因子激活后续免疫应答 |
| NK细胞 | “巡逻宪兵” | 无需抗原激活,直接杀伤病毒感染细胞和肿瘤细胞,是天然免疫第一道防线 |
| T细胞 | “特种部队 + 指挥官” | 辅助性 T 细胞协调免疫反应,细胞毒性 T 细胞杀伤异常细胞,调节性 T 细胞维持免疫平衡 |
| B细胞 | “兵工厂 + 记忆库” | 激活后分化为浆细胞分泌抗体,记忆 B 细胞留存抗原信息,启动二次免疫 |
| 树突状细胞 | “情报官” | 吞噬处理抗原,迁移至淋巴结呈递给 T 细胞,连接固有免疫与适应性免疫 |
三、主要免疫器官的结构与功能
中枢淋巴器官
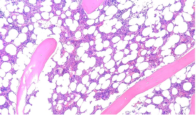
骨髓:形成初始B淋巴细胞,分为红骨髓(扁骨、不规则骨和长骨骺端,为造血组织、血窦组成)、黄骨髓(脂肪组织含量多,有造血潜能)

胸腺:形成初始T淋巴细胞,位于前上纵膈,幼儿期较大,青春期后逐渐缩小。分为左右两叶,由表面皮质(胸腺上皮细胞、胸腺细胞)及深面髓质(胸腺小体)组成。由血-胸腺屏障维持胸腺内环境稳定、保证胸腺细胞正常发育。

外周淋巴器官
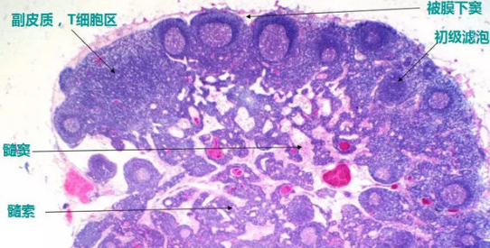
淋巴结:大小、结构与免疫功能状态相关,实质由皮质(浅层皮质区/B细胞区、副皮质区/T细胞区/胸腺依赖区、皮质淋巴窦)和髓质(髓索/B细胞区、髓窦)构成。

脾:人体最大的淋巴器官,胚胎时期参与造血,脾实质包括红髓(脾索/富含血细胞的淋巴组织、血窦)和白髓(中央动脉周围淋巴鞘/T淋巴细胞区、淋巴小结、边缘区/多为B淋巴细胞)。

扁桃体:包括腭扁桃体、咽扁桃体、舌扁桃体,与咽黏膜内的分分散淋巴组织形成咽淋巴环,由表面复层扁平上皮、大量淋巴小结、弥散淋巴组织组成。

四、免疫系统的三大核心功能
免疫防御:识别并清除侵入机体的抗原,包括病原生物、异体细胞等,抵御外来感染。
免疫监视:识别并清除体内抗原变异的细胞,如肿瘤细胞、病毒感染细胞,预防肿瘤发生和病毒扩散。
免疫稳定:识别并清除体内衰老死亡的细胞,维持内环境的稳态平衡。
免疫相关mIHC检测marker推荐
| 免疫器官类型 | 具体免疫器官 | 对应免疫细胞 | mIHC 核心检测指标 | 辅助检测指标 | 指标作用 |
| 中枢免疫器官 | 骨髓 | 造血干细胞 | CD34、CD117 | CD45 | 识别造血干细胞,追踪免疫细胞起源分化路径 |
| B 细胞(未成熟) | CD19、CD20 | CD45R | 标记未成熟 B 细胞,评估其发育成熟状态 | ||
| NK 细胞(前体) | CD56、CD16 | CD3⁻ | 鉴定 NK 细胞前体,监测其分化成熟效率 | ||
| 中枢免疫器官 | 胸腺 | T 细胞(未成熟) | CD3、CD4、CD8 | CD2 | 识别双阳性未成熟 T 细胞,观察胸腺选择过程 |
| T 细胞(成熟) | CD3⁺CD4⁺、CD3⁺CD8⁺ | Foxp3 | 区分辅助性 T 细胞、细胞毒性 T 细胞亚群 | ||
| 胸腺基质细胞 | CK18、HLA-DR | CD40 | 评估胸腺微环境对 T 细胞成熟的支撑作用 | ||
| 外周免疫器官 | 淋巴结 | T 细胞(各类亚群) | CD3、CD4、CD8、Foxp3 | CD45RO | 区分总 T 细胞、辅助性 T 细胞、调节性 T 细胞等,判断免疫激活状态 |
| B 细胞 | CD19、CD20、CD138 | Ki67 | 标记 B 细胞及浆细胞,评估体液免疫应答水平 | ||
| 巨噬细胞 | CD68、CD163、CD86 | PD-L1 | 区分 M1/M2 型巨噬细胞,判断免疫调节方向 | ||
| 树突状细胞 | CD11c、HLA-DR | CD83 | 鉴定抗原呈递细胞,评估抗原呈递能力 | ||
| 外周免疫器官 | 脾 | 细胞毒性 T 细胞 | CD3、CD8、Granzyme B | Perforin | 检测杀伤性 T 细胞及其杀伤功能相关蛋白 |
| NK 细胞 | CD56、CD16 | NKG2D | 评估 NK 细胞数量及活化状态 | ||
| 脾实质细胞 | CD35(滤泡树突状细胞)、CK19(脾小体上皮细胞) | DAPI | 定位脾内淋巴结构,观察免疫细胞聚集区域 | ||
| 外周免疫器官 | 扁桃体 | 淋巴小结相关细胞 | CD20、CD3、CD21 | Ki67 | 标记 B 细胞、T 细胞及滤泡树突状细胞,反映黏膜免疫应答 |
| 巨噬细胞 | CD68、CD163 | IL - 10 | 评估扁桃体局部炎症及免疫调节状态 | ||
| 外周免疫器官 | 黏膜相关淋巴组织 | 上皮内淋巴细胞 | CD3、CD8 | TCRγδ | 监测黏膜表面防御性 T 细胞分布 |
| B 细胞 | CD19、CD20 | IgA | 评估黏膜体液免疫中 IgA 分泌相关 B 细胞功能 |
Absin产品线:
爆款产品:十大试剂盒(mIHC、IHC、凋亡、ELISA、ChIP、Co-IP、TR-FRET、生化检测、残留检测、多因子检测);细胞培养(类器官试剂盒+基质胶,胎牛血清+培养添加剂+细胞因子)、分化试剂盒;分子(mRNA合成服务+提取试剂盒);化合物大包装;辅助试剂、耗材/仪器、定制服务(抗体/多肽/蛋白/标记/检测)...
特色产品:鸡胚提取物CEE、B27、N2、霍乱毒素B亚单位CTB、牛脑垂体提取物BPE、百日咳毒素PTX、重组人胰岛素Insulin、人源低密度脂蛋白LDL...
|
爱必信(上海)生物科技有限公司 联系邮箱:lanwu@univ-bio.com 微信公众号:爱必信生物 |
![]() |