14 年
手机商铺
公司新闻/正文
554 人阅读发布时间:2025-10-29 10:56
近期,《Molecular Cancer》(2025, 24:97)发表了一项关于食管癌治疗的重要研究,《Inhibition of 6-phosphogluconate dehydrogenase suppresses esophageal squamous cell carcinoma growth and enhances the anti-tumor effects of metformin via the AMPK/mTOR pathway》研究揭示了 6 - 磷酸葡萄糖脱氢酶(6PGD)在食管鳞状细胞癌(ESCC)中的关键作用,并提出了靶向 6PGD 联合药物治疗的新策略。

值得关注的是,该研究中多次使用Absin 的 6PGD 抗体(abs110330) 作为核心实验工具,为机制验证和结果可靠性提供了坚实支持。

研究背景:6PGD 成为 ESCC 潜在治疗靶点
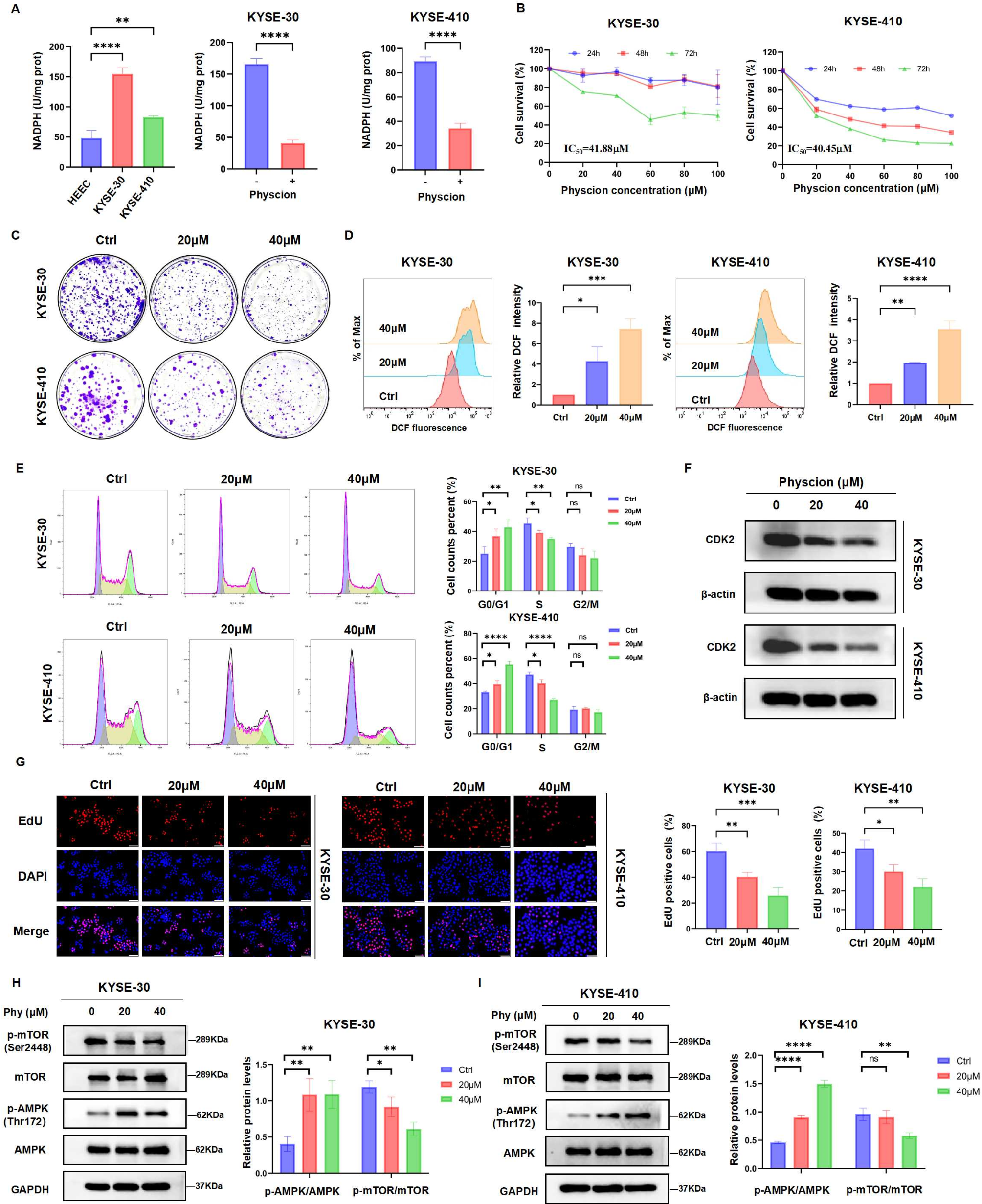
食管鳞状细胞癌(ESCC)是一种高侵袭性恶性肿瘤,中国承担了全球超半数的病例和死亡负担,5 年生存率仅 10-15%。代谢重编程是肿瘤的重要特征,其中磷酸戊糖途径(PPP)通过生成 NADPH 和核糖 - 5 - 磷酸支持肿瘤增殖,而 6PGD 作为 PPP 的关键酶,其在 ESCC 中的作用尚未明确。
该研究发现:
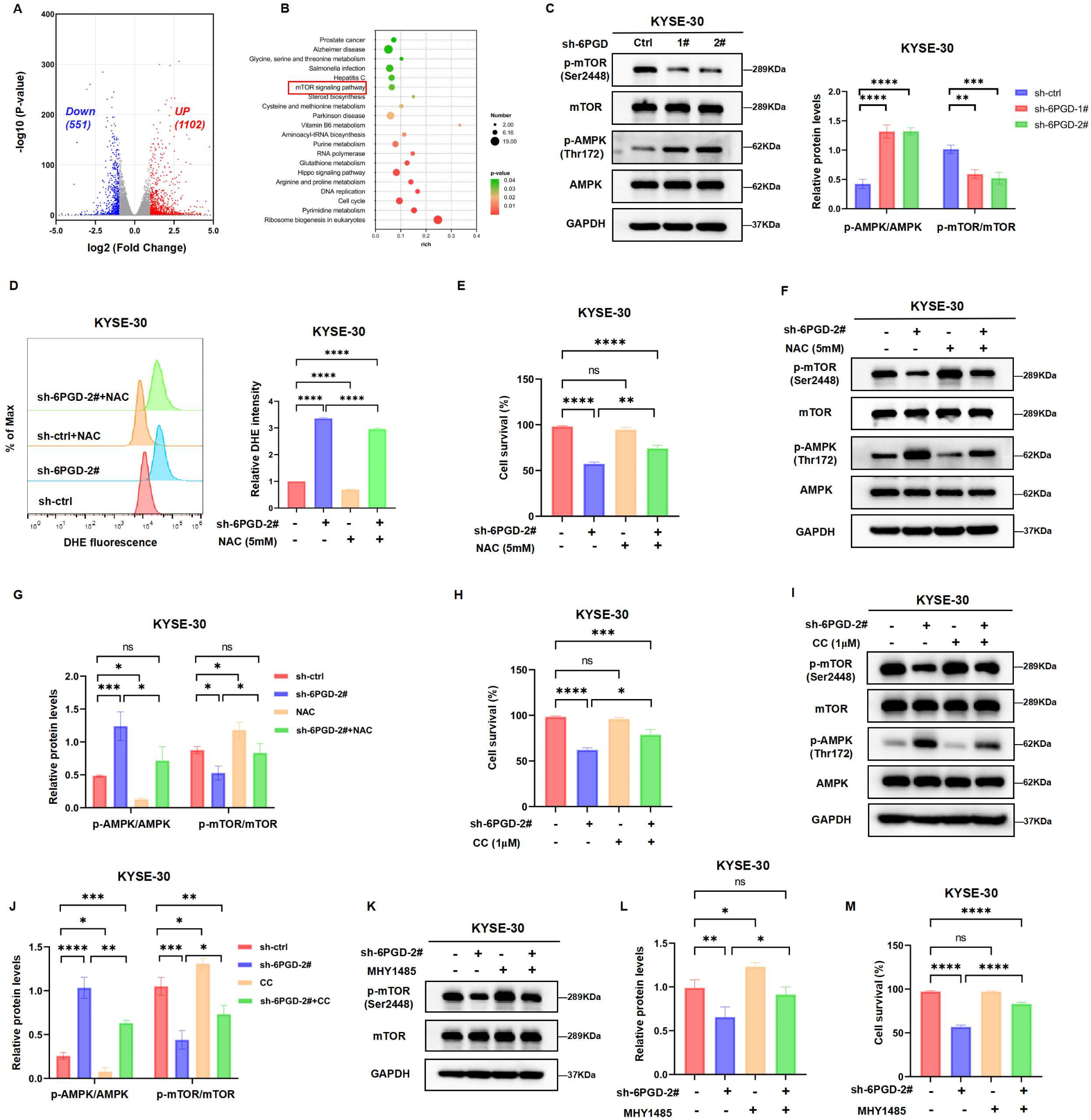
1)ESCC 组织中 6PGD 表达显著升高,且与患者不良预后密切相关;
2)敲低 6PGD 可通过激活 AMPK/mTOR 通路抑制 ESCC 细胞增殖;
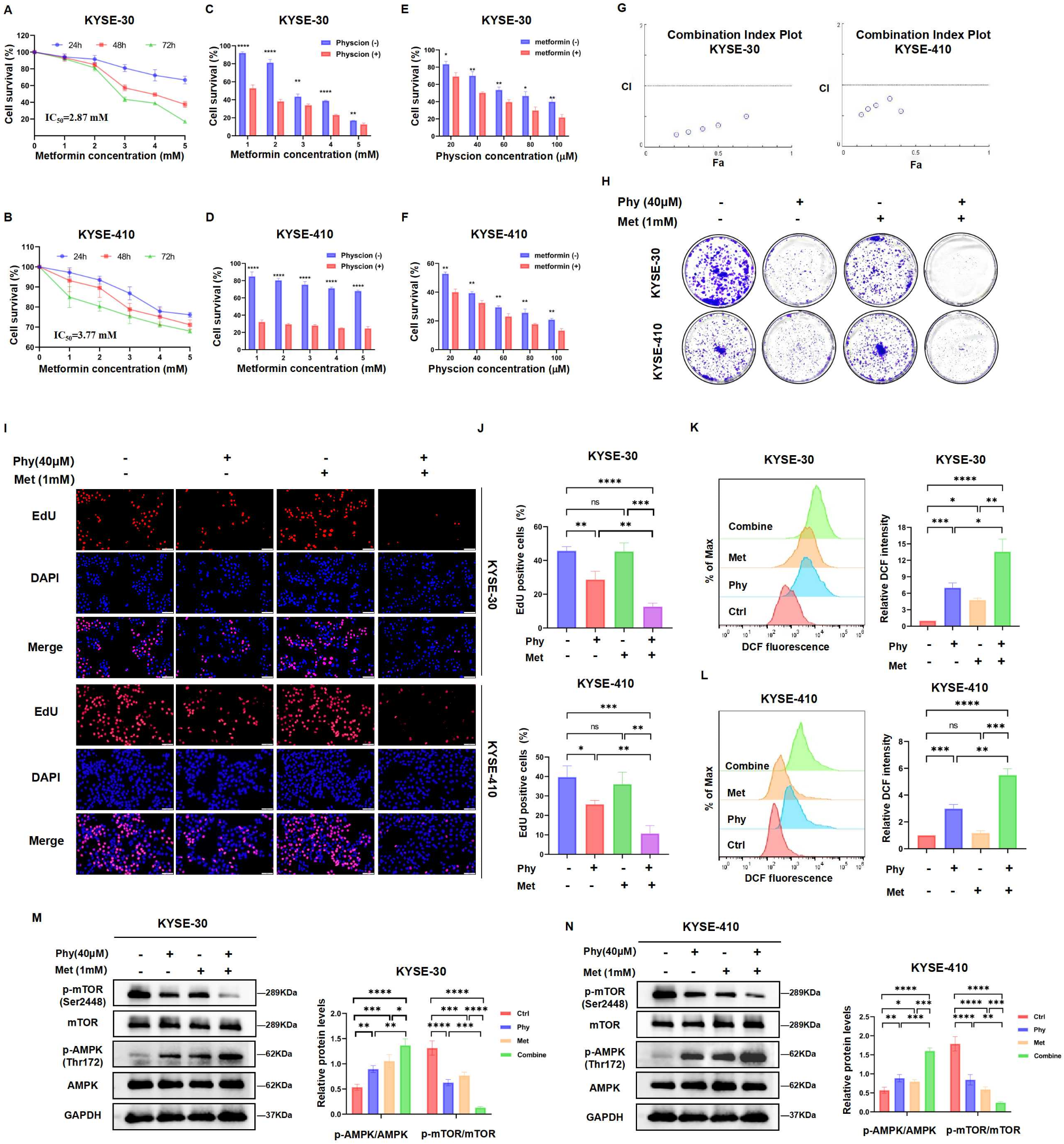
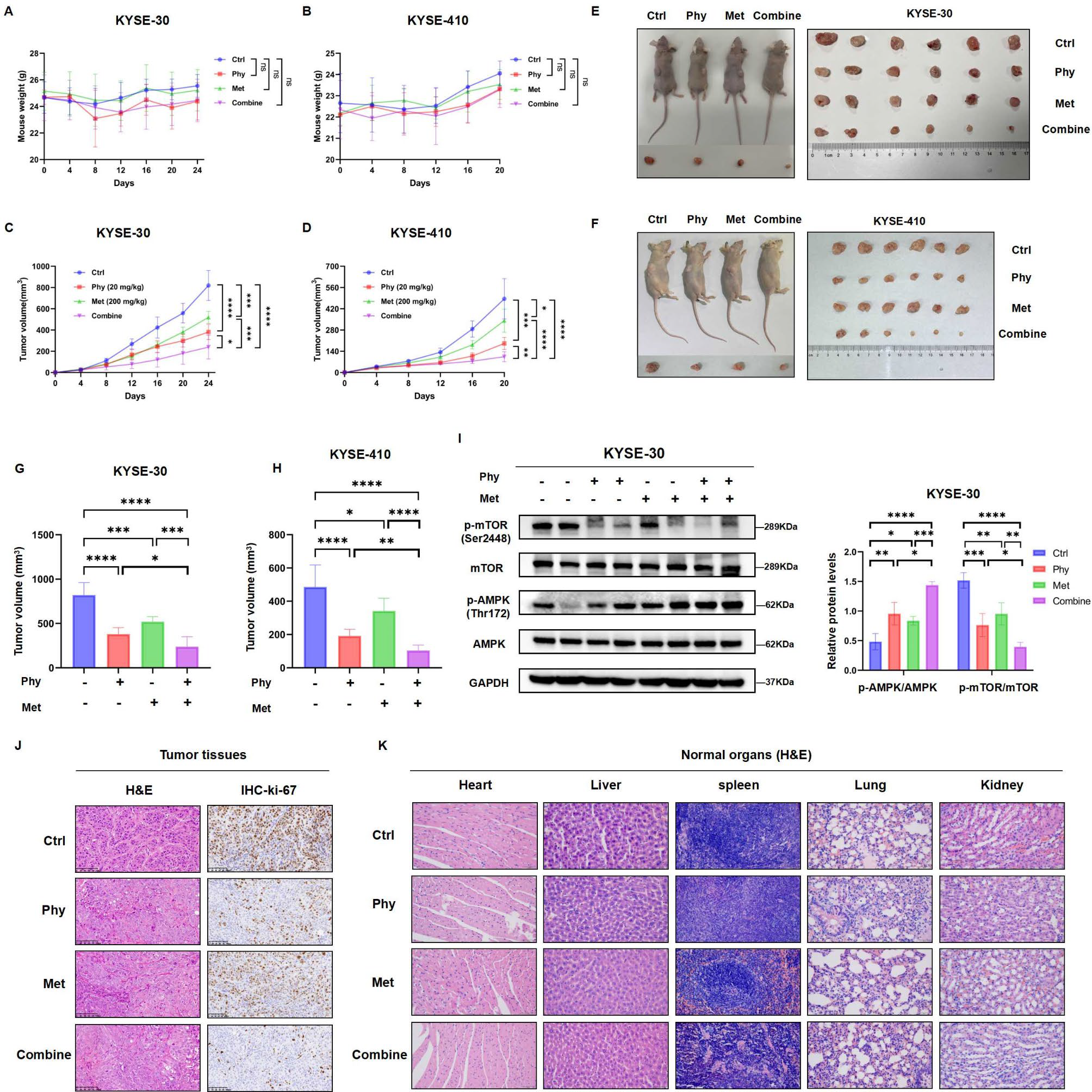
3)大黄素甲醚(physcion)通过靶向 6PGD 发挥抗 ESCC 作用,与二甲双胍联用可增强疗效。
Absin 6PGD 抗体:贯穿研究的 “关键利器”
在这项研究中,Absin 的 6PGD 抗体(货号:abs110330) 被广泛应用于多个核心实验,为 6PGD 的表达验证和机制探索提供了关键数据:

免疫组化(IHC):利用 abs110330 对 180 例 ESCC 组织芯片进行染色,结合生存分析证实 6PGD 高表达与患者预后不良相关。

2. 解析 6PGD 调控 ESCC 增殖的分子机制
在细胞实验中,abs110330 助力验证 6PGD 敲减效果:
通过 Western blot 确认 KYSE-30、KYSE-410 等细胞系中 6PGD 的敲低效率;

结合其他实验(如 ROS 检测、细胞周期分析),证实 6PGD 通过 AMPK/mTOR 通路调控细胞增殖。

3. 支持药物靶向 6PGD 的疗效验证
研究中,abs110330 进一步用于评估大黄素甲醚(physcion)的作用机制:
证实 physcion 通过抑制 6PGD 活性,降低 NADPH 水平并激活 AMPK/mTOR 通路;

联合二甲双胍时,6PGD 调控的通路激活更显著,肿瘤抑制效果增强。


为什么选择 Absin 6PGD 抗体?
1)高特异性:在组织和细胞样本中均能精准识别 6PGD,确保 Western blot 和 IHC 结果可靠;
2)实验兼容性:适用于多种样本类型(冷冻组织、石蜡切片、细胞裂解液),满足多维度研究需求;
3)文献背书:被《Molecular Cancer》等高分期刊采用,验证了其在机制研究中的稳定性。
参考文献:
Inhibition of 6-phosphogluconate dehydrogenase suppresses esophageal squamous cell carcinoma growth and enhances the anti-tumor effects of metformin via the AMPK/mTOR pathway.Mol Cancer. 2025 Mar 26 .
使用产品:
|
货号 |
名称 |
规格 |
|
abs110330 |
Rabbit anti-PGD Polyclonal Antibody(Center) |
50uL |
更多相关产品:
|
货号 |
名称 |
引用文献数量 |
|
abs132004 |
Rabbit anti-GAPDH Polyclonal Antibody |
229 |
|
abs132001 |
Rabbit anti-β-Actin Polyclonal Antibody |
151 |
|
abs131701 |
Rabbit anti-BCL-2 Polyclonal Antibody |
44 |
|
abs137975 |
Mouse anti-β-Actin Monoclonal Antibody |
39 |
|
abs132005 |
Rabbit anti-Cleaved-caspase3 Polyclonal Antibody |
35 |
|
abs137959 |
Mouse anti-GAPDH Monoclonal Antibody |
33 |
|
abs130868 |
Rabbit anti-Phospho-PI3-kinase p85-α(Tyr607) Polyclonal Antibody |
32 |
|
abs130057 |
Rabbit anti-Bax Polyclonal Antibody |
24 |
|
abs131788 |
Rabbit anti-Akt Polyclonal Antibody |
24 |
|
abs135607 |
Rabbit anti-IL-6 Polyclonal Antibody |
23 |
|
abs126104 |
Rabbit anti-IL-1β Polyclonal Antibody |
22 |
|
abs119600 |
Rabbit anti-β-Actin Polyclonal Antibody |
21 |
|
abs131244 |
Rabbit anti-Lamin B1 Recombinant Monoclonal Antibody(307-108) |
20 |
|
abs132000 |
Rabbit anti-TLR4 Polyclonal Antibody |
20 |
|
abs131984 |
Rabbit anti-Collagen I Polyclonal Antibody |
19 |
|
abs136990 |
Rabbit anti-Occludin Polyclonal Antibody |
19 |
|
abs171598 |
Rabbit anti-β-Actin Monoclonal Antibody |
18 |
|
abs119725 |
Rabbit anti-PI3 kinase p85α subunit Polyclonal Antibody |
17 |
|
abs123966 |
Rabbit anti-TNF α Polyclonal Antibody |
17 |
|
abs130481 |
Rabbit anti-Nrf2 Polyclonal Antibody |
17 |
|
abs124037 |
Rabbit anti-GAPDH Polyclonal Antibody |
16 |
|
abs131994 |
Rabbit anti-β-Tubulin Polyclonal Antibody |
16 |
|
abs130624 |
Rabbit anti-Phospho-NF-kappaB p65(Ser536) Polyclonal Antibody |
15 |
|
abs131224 |
Rabbit anti-ZO1 Polyclonal Antibody |
15 |
Absin产品线:
爆款产品:十大试剂盒(mIHC、IHC、凋亡、ELISA、ChIP、Co-IP、TR-FRET、生化检测、残留检测、多因子检测);细胞培养(类器官试剂盒+基质胶,胎牛血清+培养添加剂+细胞因子)、分化试剂盒;分子(mRNA合成服务+提取试剂盒);化合物大包装;辅助试剂、耗材/仪器、定制服务(抗体/多肽/蛋白/标记/检测)...
特色产品:鸡胚提取物CEE、B27、N2、霍乱毒素B亚单位CTB、牛脑垂体提取物BPE、百日咳毒素PTX、重组人胰岛素Insulin、人源低密度脂蛋白LDL...
|
爱必信(上海)生物科技有限公司 联系邮箱:lanwu@univ-bio.com 微信公众号:爱必信生物 |
![]() |