14 年
手机商铺
公司新闻/正文
180 人阅读发布时间:2025-09-11 14:05
在肿瘤治疗领域,骨肉瘤作为儿童和青少年最常见的原发性恶性骨肿瘤,其治疗长期受限于顺铂(DDP)耐药问题。近期,中南大学湘雅二医院团队在《Signal Transduction and Targeted Therapy》(IF=52.7)发表了《PKMYT1 kinase ameliorates cisplatin sensitivity in osteosarcoma》,首次揭示了 PKMYT1 激酶通过调控 NPM1 磷酸化介导骨肉瘤顺铂耐药的分子机制,为破解耐药难题提供了全新治疗靶点。而在这项突破性研究中,Absin 即用型高效免疫组化二抗试剂盒(货号:abs957)全程助力组织样本中关键蛋白的精准检测,为研究结论提供了坚实的组织学证据。

研究背景:骨肉瘤治疗的 “耐药困境”
骨肉瘤患者的 5 年生存率虽已提升至 60%-70%,但顺铂耐药仍是导致治疗失败的主要原因。据统计,多数患者在化疗过程中会出现 acquired resistance,导致肿瘤复发或转移,5 年生存率骤降至 20%。因此,探索耐药机制、寻找逆转耐药的靶点成为科研重点。
本研究通过全基因组 CRISPR 筛选结合转录组测序,锁定 PKMYT1 为调控顺铂敏感性的关键激酶,并深入阐明其通过磷酸化 NPM1 S260 位点、竞争性抑制 NPM1 SUMO 化,最终影响 DNA 损伤修复蛋白(BRCA1、RAP80、RAD51)招募的分子通路。而这一系列机制的验证,离不开组织样本中蛋白表达的精准检测 ——Absin 的 IHC 检测试剂盒在此发挥了关键作用。
Absin 核心产品登场:高效 IHC 检测试剂盒(abs957)
在研究中,团队需要通过免疫组织化学(IHC)技术验证 PKMYT1、NPM1-S260 等蛋白在骨肉瘤组织中的表达变化,尤其是化疗前后的差异及相关性分析。实验选用了Absin High-Efficiency IHC Detection System Kit(货号:abs957),该试剂盒凭借高灵敏度、低背景的优势,成为组织蛋白检测的 “得力助手”。
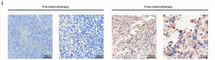
化疗前后 PKMYT1 表达差异检测
研究发现,顺铂治疗会诱导骨肉瘤细胞中 PKMYT1 的激活,而 IHC 结果是这一结论的重要支撑。团队使用 Absin abs957 试剂盒检测 20 例骨肉瘤患者化疗前后的组织样本,清晰显示:化疗后组织中 PKMYT1 表达显著高于化疗前(Fig. 1j),直接证明顺铂与 PKMYT1 激活的关联性。

NPM1-S260 与 PKMYT1 的相关性验证
在机制研究中,团队发现 PKMYT1 可特异性磷酸化 NPM1 的 S260 位点,且该磷酸化水平与 PKMYT1 表达正相关。通过 Absin IHC 试剂盒对 29 例骨肉瘤组织的检测,证实了 NPM1-S260 在肿瘤组织中的高表达,且与 PKMYT1 表达呈显著正相关(Spearman r=0.7615,P<0.001,Fig. 3n),为 “PKMYT1-NPM1” 调控轴提供了直接的组织学证据。
肿瘤增殖标志物 Ki67 的检测
在动物实验中,团队通过 IHC 检测肿瘤组织中 Ki67 的表达,评估 PKMYT1 敲除联合顺铂对肿瘤增殖的抑制作用。Absin 试剂盒清晰显示:PKMYT1 敲除 + 顺铂组的 Ki67 阳性细胞比例显著降低(Fig. 2n、4n),直观验证了联合治疗的抗增殖效果。

为什么选择 Absin abs957 IHC 试剂盒?
作为支撑高分文章的关键工具,Absin High-Efficiency IHC Detection System Kit 具备三大核心优势:
✦ 高灵敏度:可精准检测低丰度蛋白(如磷酸化修饰蛋白 NPM1-S260),确保微弱信号不遗漏;
✦ 低背景干扰:通过优化的二抗体系和显色方案,减少非特异性染色,让结果更清晰可靠;
✦ 操作便捷:试剂盒包含全套试剂(封闭液、一抗稀释液、HRP 标记二抗、DAB 显色液等),无需额外配制,实验流程更高效。
正如本研究中,从临床组织到动物模型,Absin abs957 试剂盒全程稳定输出高质量 IHC 结果,为从临床样本到机制验证的完整证据链提供了有力支持。
相关产品:
|
货号 |
名称 |
规格 |
|
abs957 |
即用型高效免疫组化二抗试剂盒 |
5mL |
|
abs996 |
即用型免疫组化二抗试剂盒(鼠兔通用型) |
5mL |
|
abs998 |
即用型免疫组化二抗试剂盒(抗兔) |
5mL |
|
abs997 |
即用型免疫组化二抗试剂盒(抗小鼠) |
5mL |
IHC 一站式采购,打包买最低享75折!
好消息!Absin文献奖励重磅升级!
Absin产品线:
爆款产品:十大试剂盒(mIHC、IHC、凋亡、ELISA、ChIP、Co-IP、TR-FRET、生化检测、残留检测、多因子检测);细胞培养(类器官试剂盒+基质胶,胎牛血清+培养添加剂+细胞因子)、分化试剂盒;分子(mRNA合成服务+提取试剂盒);化合物大包装;辅助试剂、耗材/仪器、定制服务(抗体/多肽/蛋白/标记/检测)...
特色产品:鸡胚提取物CEE、B27、N2、霍乱毒素B亚单位CTB、牛脑垂体提取物BPE、百日咳毒素PTX、重组人胰岛素Insulin、人源低密度脂蛋白LDL...
|
爱必信(上海)生物科技有限公司 联系邮箱:info@absin.cn 微信公众号:爱必信生物 |
![]() |