14 年
手机商铺
公司新闻/正文
329 人阅读发布时间:2025-09-04 13:52
1. 金属螯合填料
固定化金属离子亲和层析(Immobilized Metal Affinity Chromatography, IMAC)是一种广泛应用于蛋白质,特别是带组氨酸标签(His-tag)的重组蛋白纯化的技术。其核心原理是利用蛋白质表面的氨基酸残基(主要是组氨酸)与固定在层析介质上的过渡金属离子(通常是镍离子, Ni²⁺)之间的亲和力进行选择性分离。以下简练介绍三种常见的IMAC层析介质:Ni-IDA,Ni-NTA和Ni-TED。
|
特点 |
Ni-IDA琼脂糖凝胶FF |
Ni-NTA琼脂糖凝胶FF |
Ni-TED琼脂糖凝胶FF |
|
结构与螯合 |
IDA(Iminodiacetic acid)是一种三齿螯合剂,它通过三个位点(一个氮原子和两个羧基氧原子)与镍离子结合。这使得镍离子上有三个剩余的配位点可与目标蛋白的组氨酸标签结合 |
NTA(Nitrilotriacetic acid)是一种四齿螯合剂,它用四个位点(一个氮原子和三个羧基氧原子)来固定镍离子。这为目标蛋白的组氨酸标签留下了两个可用的结合位点 |
TED(Tris(carboxymethyl)ethylenediamine)是一种五齿螯合剂,它通过五个位点牢固地螯合镍离子,仅留下一个配位点与目标蛋白结合 |
|
亲和力/结合载量 |
高 |
高 |
一般 |
|
特异性 |
较低。镍离子暴露的配位点较多,非特异性吸附的可能性也相应增加 |
高。镍离子被NTA更紧密地包裹,减少了非特异性结合 |
高。减少非特异性吸附,获得高纯度蛋白 |
|
螯合剂耐受性 |
不耐受 |
≤1 mM EDTA |
≥10 mM EDTA |
|
离子泄露风险 |
较高 |
低 |
极低 |
|
应用 |
适用于对纯度要求不高,或目标蛋白表达量较高的常规纯化 |
His标签蛋白纯化的“金标准”,适用于大多数需要高纯度蛋白的场景,是应用最广泛的IMAC介质 |
适用于样品中含有EDTA或DTT等干扰物质(例如动物细胞表达),或者对蛋白纯度有很高要求的纯化任务 |

Ni-IDA琼脂糖凝胶FF系列使用流程图

Ni-NTA琼脂糖凝胶FF系列使用流程图

Ni-TED琼脂糖凝胶FF系列使用流程图
2. His标签蛋白纯化填料参数:
|
类别 |
Ni-IDA琼脂糖凝胶FF |
Ni-NTA琼脂糖凝胶FF |
Ni-TED琼脂糖凝胶FF |
|
基质 |
6%交联琼脂糖 |
||
|
配基 |
亚氨基二乙酸,~30 μmol Ni2+/mL |
次氮基三乙酸,~17 μmol Ni2+/mL |
三羧甲基乙er胺,~60 μmol Ni2+/mL |
|
粒径范围a |
45~165 μm |
||
|
平均粒径 |
~90 μm |
||
|
动态结合载量b |
≥40 mg/mL |
≥20 mg/mL |
|
|
推荐工作流速 |
60~300 cm/h |
||
|
使用 pH |
4~8.5(推荐的工作 pH),3~12(长期稳定);2~14(短期稳定) |
||
|
化学稳定性 |
在以下溶液中稳定:常用的水相缓冲液、1 mol/L NAOH、8 mol/L 尿素、6 mol/L 盐酸胍、70%乙醇等。 |
||
注:
a:90%体积以上的微球在此粒径范围;
b:DBC10%测试条件为:10%流穿,大肠杆菌表达带组氨酸标签的重组蛋白,6min停留时间。
3. 应用数据:

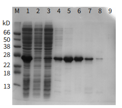
图6:Lane M: Marker
Lane 1 :Start material
Lane 2: Flowthrough 1
Lane 3: Flowthrough 2
Lane 4: Elution (20 mM Imidazole)
Lane 5: Elution (50 mM Imidazole)
Lane 6: Elution (100 mM Imidazole)
Lane 7: Elution (200 mM Imidazole)
Lane 8: Elution (300 mM Imidazole)
Lane 9: Elution (500 mM Imidazole)
填料: Ni-IDA 琼脂糖凝胶FF(重力预装柱)(Cat: abs91007-G),1mL
样品:his6 -tagged recombinant Streptococcus Protein G produced in E. coli
结合缓冲液:20 mM PB, 150 mM NaCl, pH 7.4
洗脱缓冲液:20 mM PB, 150 mM NaCl, 20-500 mM Imidazole, pH 7.4

图7:填料:Ni-NTA 琼脂糖凝胶FF(中压预装柱)(Cat: abs91008-M),1mL
样品:his6 -tagged recombinant Streptococcus Protein G produced in E. coli
结合缓冲液:20 mM PB, 150 mM NaCl, pH 7.4
洗脱缓冲液:20 mM PB, 150 mM NaCl, 20-500 mM Imidazole, pH 7.4
其他标签蛋白亲和纯化
|
特点 |
GST琼脂糖凝胶FF |
MBP琼脂糖凝胶FF |
生物素琼脂糖凝胶FF |
Strep II琼脂糖凝胶FF |
|
填料配基 |
谷胱甘肽 |
糊精 |
链霉亲和素 |
链霉亲和素突变体 |
|
作用的标签 |
GST (Glutathione S-transferase),~26 kDa |
MBP (Maltose-Binding Protein),~42 kDa的蛋白 |
生物素标记(通过生物素连接酶(BirA)定点连接到目标蛋白的特定序列(如AviTag)上,也可以通过化学方法非特异性连接 |
Strep II,8个氨基酸组成的短肽 (WSHPQFEK) |
|
纯化原理 |
GST标签能与固定化在介质上的谷胱甘肽发生特异性、可逆的结合 |
MBP标签能够特异性地识别并结合介质上的糊精 |
生物素与链霉亲和素之间存在自然界中最强的非共价相互作用之一 |
Strep II标签能够与链霉亲和素突变体的生物素结合口袋发生高亲和力、高特异性的可逆结合 |
|
洗脱方法 |
使用还原型谷胱甘肽(Reduced Glutathione)进行竞争性洗 |
使用高浓度的麦芽糖(Maltose)溶液进行竞争性洗脱 |
变性洗脱 |
使用D-生物素(D-biotin)溶液进行竞争性洗脱 |
GST琼脂糖凝胶FF应用:

Lane M: Marker
Lane 1: Start material
Lane 2: Flowthrough
Lane 3: Elution
填料:GST琼脂糖凝胶FF(重力预装柱)(Cat: abs91010-G),1mL
样品: GST-SUMO produced in E. coli
结合缓冲液: 20 mM PB, 150 mM NaCl, pH 7.4
洗脱缓冲液: 20 mM PB, 150 mM NaCl, 10 mM glutathione, pH 7.4
MBP琼脂糖凝胶FF应用:

Lane M: Marker
Lane 1: Start material
Lane 2: Flowthrough
Lane 3: Elution
填料:MBP琼脂糖凝胶FF(重力预装柱)(Cat: abs91011-G),1mL
样品: MBP produced in E. coli
结合缓冲液: 20 mM Tris-HCl, 200 mM NaCl, 1mM EDTA, 1mM DTT, pH7.4
洗脱缓冲液: 20 mM Tris-HCl, 200 mM NaCl, 1mM EDTA, 1mM DTT, 10 mM D-maltose, pH7.4

Lane M: Marker
Lane 1: Start material
Lane 2: Flowthrough
Lane 3: Elution
填料:Strep II琼脂糖凝胶FF(重力预装柱)(Cat: abs91013-G),1mL
样品: Strep II-tagged EGF produced in E. coli
结合缓冲液:20 mM Tris-HCl, 500 mM NaCl, 1 mM EDTA, pH 8.0
洗脱缓冲液:20 mM Tris-HCl, 500 mM NaCl, 1 mM EDTA, 10mM D-Biotin, pH 8.0
4. 爱必信标签蛋白纯化填料产品信息
|
商品货号 |
商品名称 |
|
abs91008-G |
Ni-NTA 琼脂糖凝胶FF(重力预装柱) |
|
abs91008-M |
Ni-NTA 琼脂糖凝胶FF(中压预装柱) |
|
abs91008-F |
Ni-NTA 琼脂糖凝胶FF |
|
abs91007-G |
Ni-IDA 琼脂糖凝胶FF(重力预装柱) |
|
abs91007-M |
Ni-IDA 琼脂糖凝胶FF(中压预装柱) |
|
abs91007-F |
Ni-IDA 琼脂糖凝胶FF |
|
abs91009-F |
Ni-TED 琼脂糖凝胶FF |
|
abs91009-G |
Ni-TED 琼脂糖凝胶FF(重力预装柱) |
|
abs91009-M |
Ni-TED 琼脂糖凝胶FF(中压预装柱) |
|
abs91010-F |
GST琼脂糖凝胶FF |
|
abs91010-G |
GST琼脂糖凝胶FF(重力预装柱) |
|
abs91010-M |
GST琼脂糖凝胶FF(中压预装柱) |
|
abs91011-F |
MBP琼脂糖凝胶FF |
|
abs91011-G |
MBP琼脂糖凝胶FF(重力预装柱) |
|
abs91011-M |
MBP琼脂糖凝胶FF(中压预装柱) |
|
abs91012-F |
生物素琼脂糖凝胶FF |
|
abs91012-G |
生物素琼脂糖凝胶FF(重力预装柱) |
|
abs91012-M |
生物素琼脂糖凝胶FF(中压预装柱) |
|
abs91013-F |
Strep II琼脂糖凝胶FF |
|
abs91013-G |
Strep II琼脂糖凝胶FF(重力预装柱) |
|
abs91013-M |
Strep II琼脂糖凝胶FF(中压预装柱) |
好消息!Absin文献奖励重磅升级!
Absin产品线:
爆款产品:十大试剂盒(mIHC、IHC、凋亡、ELISA、ChIP、Co-IP、TR-FRET、生化检测、残留检测、多因子检测);细胞培养(类器官试剂盒+基质胶,胎牛血清+培养添加剂+细胞因子)、分化试剂盒;分子(mRNA合成服务+提取试剂盒);化合物大包装;辅助试剂、耗材/仪器、定制服务(抗体/多肽/蛋白/标记/检测)...
特色产品:鸡胚提取物CEE、B27、N2、霍乱毒素B亚单位CTB、牛脑垂体提取物BPE、百日咳毒素PTX、重组人胰岛素Insulin、人源低密度脂蛋白LDL...
|
爱必信(上海)生物科技有限公司 联系邮箱:info@absin.cn 微信公众号:爱必信生物 |
![]() |