14 年
手机商铺
公司新闻/正文
567 人阅读发布时间:2024-07-22 10:24
背景介绍
外泌体(exosomes)是一类由细胞分泌到胞外的囊泡,最早由Pan和Johnstone在绵羊网织红细胞中发现并命名。随着研究的深入,人们发现包括血细胞、免疫细胞、癌细胞、干细胞等在内的几乎所有细胞都可以产生外泌体,所产生的外泌体不仅存在于细胞培养液中,也存在于血液、尿液、母乳、唾液、胸腔积液等体液中。外泌体可携带供体细胞中的一些物质,被认为是细胞间通讯和物质交换的重要载体,可通过直接或间接的形式调控细胞的功能和生物学行为。研究表明,外泌体参与肿瘤疾病的发展进程,可作为肿瘤的无创液体活检中重要的标志物。外泌体的应用主要在疾病治疗、生物标志物、药物递送等三大领域。
一、外泌体的提取与纯化
如何高效、高纯度地富集外泌体是实现其组学分析和功能研究的关键。然而外泌体体积小,密度低,加之在粒径与组成方面存在异质性,即使同种细胞产生的外泌体也有可能形态各异,给外泌体的提取带来巨大困难。如今已发展了多种基于外泌体尺寸、密度及免疫表型的提取方法,包括超速离心法、密度梯度离心法、聚合物沉淀法、超滤法、尺寸排阻色谱、免疫亲和法等[1]。

图1 常用的外泌体分离方法
1、超速离心法:首先在300、2000和10000g离心力作用下去除样本中的细胞、细胞碎片和大囊泡,随后在110000g条件下收集外泌体,最后用磷酸盐缓冲液(PBS, abs962)清洗沉淀以去除可溶的干扰蛋白质(图1a);
2、密度梯度离心法:属于一种更为严格的超速离心法,能够根据样品密度进一步纯化囊泡,克服蛋白质共沉淀造成的污染。常用的分离介质包括碘克沙醇(abs44121314)和蔗糖(abs47050864)。以蔗糖为例,实际操作时,需要预先制备不同浓度梯度的蔗糖/D2O(abs47051532)溶液,随后加入待分离物质。在超速离心力的作用下,外泌体将在等密度区域(1.13~1.19g/mL) 驻留,收集该组分即可得纯化的外泌体(图1b);
3、尺寸排阻色谱法:以不同粒径的聚合物凝胶填料作为分离介质,基于尺寸特征实现外泌体的分离(图1c)。色谱柱采用稳定、多孔的凝胶颗粒填充,将含有外泌体的溶液加入到色谱柱中时,较小的颗粒将被捕获在孔中,而较大的分子则不会进入孔中并被率先洗脱。因此,不同阶段的洗脱部分将包含不同大小的分子,首先是较大的外泌体颗粒,其次是较小的蛋白质和脂质颗粒(abs9777);
4、超滤法:其原理与传统的膜分离法相同。该方法通常选用相对分子截留量为100kDa 的超滤管,能够在提取外泌体的同时浓缩样本量,尤其适用于细胞培养液、尿液等大体积样本(图1d);
5、亲和法:亲和提取法是目前特异性zui好的一种外泌体提取方法,也是唯yi一种能够识别特定细胞来源的外泌体的方法。外泌体的亲和提取主要通过抗体与外泌体膜蛋白质之间的特异性相互作用实现(图1e)。所使用的抗体为单抗或多抗,目标蛋白质可以是外泌体表面普遍具有的CD63(abs159125)、CD9(abs131217)、CD81(abs159270)等跨膜蛋白质、膜联蛋白质和上皮细胞黏附分子(EpCAM)等,也可以是癌细胞外泌体表面独有的标志性蛋白质;
6、基于聚合物的共沉淀法:聚合物沉淀法是商业化外泌体提取试剂盒通常采用的策略,其中聚乙二醇(abs42155612)是目前最常用的沉淀试剂。一般认为聚合物沉淀法的原理是聚合物通过“劫持”水分子,降低外泌体溶解度,进而在低速离心条件下发生沉降(图1f)。
二、外泌体的表征手段
目前可以通过电镜、动态光散射、纳米颗粒跟踪分析仪、蛋白质免疫印迹、酶联免疫吸附法、流式细胞仪等对外泌体进行表征。
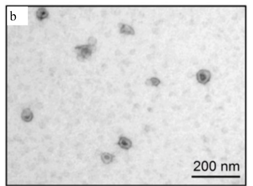
通过电镜可获得外泌体的形态信息,不同类型的显微镜由于操作环境不同,得到的外泌体形态存在差异。例如,在扫描电镜、透射电镜和原子力显微镜中,外泌体呈现囊泡独有的茶托形(图2a),可能由于样品在固定或染色过程中极度脱水,导致外泌体塌陷所致。与之相反,在冷冻电镜中外泌体呈现圆形,由于不会脱水变性,所得的外泌体形态可能更加接近囊泡的真实状态(图2b)。另外,由于透射电镜和原子力显微镜具有较高分辨率,也能够提供外泌体磷脂双分子层厚度、粒径分布等信息(图2c)。

图2a 扫描电镜下外泌体呈现囊泡独有的茶托形[2]。

图2b 冷冻电镜下外泌体呈现圆形,形态可能更加接近囊泡的真实状态[3]。

图2c 透射/原子力电镜下可观察到外泌体磷脂双分子层[4]。
图2 用不同类型显微镜观察的外泌体形态
虽然目前几种常用的表征方法尚有不足,但是多种方法结合能够提高对外泌体的表征精度。随着各项技术的发展,未来有望实现外泌体的准确、快速、可靠分析。
三、外泌体的示踪技术
对分离的外泌体进行体外标记或体内活体示踪,有助于对外泌体的功能进行进一步的研究。目前对于外泌体的标记方法有很多种,如荧光标记、生物素标记、量子点标记、免疫标记、同位素标记、基因标记等。其中,荧光标记由于操作简单方便,是科研人员最常用的外泌体标记方法。外泌体标记荧光染料包括DiR(abs45153692)、DiI(abs42002237)、DiO(abs45153674)、DiD(abs47048165)等,其中DiR的近红外荧光可以穿透细胞和组织,也常用于小动物体内示踪。此外,标记细胞膜的PKH26(abs9819)和PKH67(abs9820)试剂盒也被用于外泌体的标记。
下面小爱就以文献为例给大家详细介绍DiR标记外泌体并用于体内示踪的具体步骤[5]。
1、准备好分离纯化的外泌体;
2、用2μM DiR(abs45153692)在37℃下标记外泌体1h,然后用SuperEV 0.5纯化柱纯化。
3、将不同量的外泌体腹腔注射到小鼠体内。注射24h后,将小鼠麻醉,并使用NIR-II Imaging System H成像系统成像。
为了进一步分析外泌体在组织中的位置,对组织进行筛选、固定和切片,并使用尼康TI2-E+A1 R共聚焦显微镜检测DiR信号(Ex/Em = 748/780nm)。

图3 外泌体(EVs)治疗24h后,大多数荧光信号仍留在正常小鼠的注射部位(a)。相反,在EVs处理的AP小鼠中,荧光信号扩散到腹部,胰腺显示出比用F4/80- EVs治疗的AP小鼠更强的荧光信号。
爱必信(上海)生物科技有限公司可为科研人员提供非常全面的细胞结构(如细胞膜、细胞质、细胞核、细胞骨架、线粒体、溶酶体、外泌体、内质网等)染色相关染料。关于外泌体的研究,小爱今天就介绍到这里,欢迎各位科研小伙伴联系我们探讨实验问题!
参考文献
[1] 高方园,焦丰龙,张养军,等.外泌体分离技术及其临床应用研究进展[J].色谱, 2019, 37(10):13.
[2] Shao H, Im H, Castro C M, et al. New Technologies for Analysis of Extracellular Vesicles[J]. Chemical Reviews, 2018, 118(4):1917.
[3] Li P, Kaslan M, Lee S H, et al. Progress in Exosome Isolation Techniques[J]. Theranostics, 2017,7(3):789.
[4] Pisitkun T, Shen R F, Knepper M A. Identification and proteomic profiling of exosomes in human urine[J]. Proceedings of the National Academy of Sciences of the United States of America, 2004, 101(36): 13368.
[5] Gao Y, Mi N, Wu W, et al. Transfer of inflammatory mitochondria via extracellular vesicles from M1 macrophages induces ferroptosis of pancreatic beta cells in acute pancreatitis[J]. J Extracell Vesicles, 2024;13(2):e12410.
外泌体研究产品推荐:
|
类别 |
货号 |
产品名称 |
|
外泌体提取与纯化 |
abs42155612 |
聚乙二醇 |
|
abs44121314 |
碘克沙醇 |
|
|
abs47050864 |
蔗糖 |
|
|
abs47051532 |
重水(D2O) |
|
|
abs50039 |
血浆血清外泌体提取试剂盒 |
|
|
abs50040 |
细胞上清外泌体提取试剂盒 |
|
|
abs60263 |
外泌体RNA提取试剂盒 |
|
|
abs60364 |
外泌体DNA提取试剂盒 |
|
|
abs962 |
PBS |
|
|
abs9777 |
外泌体纯化试剂盒(SEC) |
|
|
外泌体鉴定抗体 |
abs131217 |
Rabbit anti-CD9 Recombinant Monoclonal Antibody(143-53) |
|
abs159125 |
Rabbit anti-CD63 Monoclonal Antibody(4G3) |
|
|
abs159270 |
Rabbit anti-CD81 Monoclonal Antibody(3D6) |
|
|
外泌体辅助试剂 |
abs9232 |
BCA蛋白定量试剂盒 |
|
abs9587 |
外泌体专用裂解液 |
|
|
外泌体示踪 |
abs42002237 |
DiI高氯酸盐 |
|
abs45153674 |
DiO高氯酸盐 |
|
|
abs45153692 |
DiR碘化物 |
|
|
abs47048165 |
细胞膜荧光探针DiD |
|
|
abs9819 |
PKH26红色荧光细胞连接试剂盒 |
|
|
abs9820 |
PKH67绿色荧光细胞连接试剂盒 |
|
|
外泌体抑制剂 |
abs810270 |
U-104 |
|
abs811902 |
GW 4869 |
|
|
abs813596 |
(R)-Lansoprazole |
|
|
abs814457 |
Neticonazole Hydrochloride |
|
|
abs814876 |
Lansoprazole |
|
|
abs818914 |
Heparin sodium salt |
|
|
细胞培养 |
abs9430 |
外泌体专用无血清培养基 |
|
abs993 |
无外泌体胎牛血清 |
Absin产品线:
爆款产品:十大试剂盒(mIHC、IHC、凋亡、ELISA、ChIP、Co-IP、TR-FRET、生化检测、残留检测、多因子检测);细胞培养(类器官试剂盒+基质胶,胎牛血清+培养添加剂+细胞因子)、分化试剂盒;分子(mRNA合成服务+提取试剂盒);化合物大包装;辅助试剂、耗材/仪器、定制服务(抗体/多肽/蛋白/标记/检测)...
特色产品:鸡胚提取物CEE、B27、N2、霍乱毒素B亚单位CTB、牛脑垂体提取物BPE、百日咳毒素PTX、重组人胰岛素Insulin、人源低密度脂蛋白LDL...