14 年
手机商铺
公司新闻/正文
369 人阅读发布时间:2023-11-10 09:33
猴痘(Monkeypox,MPX)是由猴痘病毒(Monkeypox virus,MPXV)引起的一种病毒性人畜共患病,其属于正痘类病毒,症状表现类似于天花,常见症状表现为发烧(通常在38.5℃到40.5℃之间)、头痛、肌肉酸痛、淋巴结肿大及皮疹等[1]。自1970年报告了第一例患者以来,猴痘主要在非洲地区流行。但2022年5月,猴痘开始了全球范围的大流行,已有113个国家(地区)报告了89000多例猴痘确诊病例,包含152例死亡病例。
2023年6月,我国多个省份先后报告多例猴痘病例。新消息2023年9月1日至31日,内地新增报告305例猴痘确诊病例,并显示出本土蔓延趋势。国家卫生健康委公告显示,自9月20日起,猴痘被纳入乙类传染病进行管理。尽管猴痘的症状比天花轻,传播性比天花弱,但猴痘病毒可能会成为比天花病毒更难对付的人类病原体[2]。
疫苗的使用是战胜病毒的好方法,猴痘病毒和天花具有高度同源的基因组,现有的痘类疫苗包括痘苗病毒减毒活疫苗ACAM2000和一种减毒活疫苗JYNNEOS,均存在一定的疫苗安全性以及有限供应等问题,因此迫切需要一种能够快速开发的安全疫苗。具有脂质纳米颗粒(LNP)递送系统的mRNA疫苗具有能快速合成,无细胞系统,没有与宿主基因组整合的风险,并且能够引起体液免疫和细胞免疫等众多优势,在应对猴痘等突发公共卫生事件中具有巨大应用前景[3]。

图1 猴痘病毒
2023年9月22日,中国生物杨晓明团队在《Nature Communications》期刊上发表了关于开发新型猴痘mRNA疫苗的文章《mRNA vaccines encoding fusion proteins of monkeypox virus antigens protect mice from vaccinia virus challenge》。本研究中由EEV和IMV抗原组合而成的mRNA疫苗,能够有效诱导针对痘苗病毒的免疫,在小鼠模型上保护免受痘苗病毒致死感染。

图2 猴痘mRNA疫苗文章信息
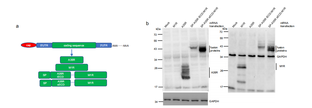
mRNA设计和体外蛋白表达,SP-A35R sECD-M1R表达量最高
本研究中首先合成了四个密码子优化的mRNA,包括全长A35R,M1R,完整A35R胞外域融合M1R(融合1:SP-A35R IECD-M1R),短A35R胞外域融合M1R(融合2:SP-A35R sECD-M1R)它们编码不同的MPXV抗原(图3a)。将等量mRNA转染293T细胞,并与抗a35r和抗m1r抗体孵育,确认4种mRNA的蛋白表达,如图3b所示。Western blot检测结果显示,编码SP-A35R sECD-M1R的mRNA在293 T细胞中的表达水平最高。

图3 mRNA序列设计及蛋白表达验证
三种mRNA疫苗对受到致死剂量病毒攻击的小鼠都有保护作用
研究者开发了三种不同的mRNA-LNP复合物,以评估它们在诱导抗MPXV保护性免疫中的功效。将小鼠肌内注射这些mRNA疫苗,所有三种疫苗组均在接种后第7天诱导抗a35r抗体。将含有融合A35R/M1R,全长A35R/M1R的mRNA-LNP复合物分别注射小鼠,在致死性痘病毒感染模型下,三组疫苗都能够保护小鼠免于病毒感染导致的死亡。

图4 mRNA疫苗对病毒攻击的保护作用
mRNA疫苗在免疫7天后可保护小鼠免受VACV的攻击
为了进一步评估mRNA疫苗诱导保护性免疫的速度,研究者实施了单剂量8天的疫苗接种方案,进行VACV-WR攻击(图5a)。以两种亚致死剂量(低剂量和高剂量)给小鼠腹腔注射了VACV-WR活疫苗。如图5b所示,三种mRNA疫苗均可诱导相应的A35R抗体。只有VGPox 1和VGPox 2能够引发针对M1R的抗体(图5c),而接种亚致死活VACV-WR疫苗在第7天未能产生针对这两种抗原的抗体(图5b,c)。接种VGPox 1和2的动物血清分别表现出87.8%和93.4%的强中和活病毒的能力,表明它们有可能成为有效的疫苗(图5d)。

图5 单剂量疫苗接种和相应免疫反应
mRNA疫苗具有长期保护作用
为了评估mRNA疫苗的长期保护性免疫,给小鼠接种两剂VGPox 1-3。从第1个月到第5个月,所有三种候选疫苗的a35r特异性抗体逐渐下降(图6a)。在接种疫苗后162天,小鼠鼻内受到致命的VACV-wr攻击,所有三种mRNA候选物和活病毒疫苗都能完全保护小鼠免受VACV攻击(图6d)。这些结果表明mRNA疫苗可诱导对VACV的长期保护性免疫。

图6 长期免疫检测
总体来讲,VGPox系列新型猴痘mRNA疫苗具有以下三个亮点:
1、mRNA序列只含两种关键的病毒抗原,但具有优越免疫反应;
2、一针疫苗即可获得有效抗猴痘免疫反应;
3、免疫反应早,动物试验证明在给药后7天,即可产生早期免疫反应,且具有长期保护作用。
参考文献
[1] Adler H, Gould S, Hine P, et al. Clinical features and management of human monkeypox: a retrospective observational study in the UK[J]. The Lancet Infectious Diseases, 2022, 22(8): 1153-1162.
[2] Huang Y, Mu L, Wang W. Monkeypox: epidemiology, pathogenesis, treatment and prevention[J]. Signal Transduction and Targeted Therapy, 2022, 7(1): 1-22.
[3] Hou F, Zhang Y, Liu X, et al. mRNA vaccines encoding fusion proteins of monkeypox virus antigens protect mice from vaccinia virus challenge[J]. Nature Communications, 2023, 14(1): 5925.
本期产品推荐:
| 货号 |
产品名称 |
规格 |
产品特征 |
| Cas9 mRNA |
100ug |
新鲜现货 |
|
| EGFP mRNA |
100ug |
新鲜现货 |
|
| Fluc mRNA |
100ug |
新鲜现货 |
|
| mcherry mRNA |
100ug |
新鲜现货 |
|
| Cre mRNA |
100ug |
新鲜现货 |
|
| EPO mRNA |
100ug |
新鲜现货 |
|
| OVA mRNA |
100ug |
新鲜现货 |
|
| Endless eGFP mRNA |
100ug |
新鲜现货 |
|
| Endless Fluc mRNA |
100ug |
新鲜现货 |
|
| Endless mcherry mRNA |
100ug |
新鲜现货 |
|
| Endless Cas9 mRNA |
100ug |
新鲜现货 |
|
| Endless EPO mRNA |
100ug |
新鲜现货 |

Absin特色产品线:
| 爱必信(上海)生物科技有限公司 联系邮箱:info@absin.cn 微信公众号:爱必信生物 |