14 年
手机商铺
公司新闻/正文
855 人阅读发布时间:2023-10-23 17:13
流行性肥胖是近几年的一大健康挑战,肥胖促使一些心血管疾病如高血压、血栓等发病率增高,糖尿病则是以高血糖为特征的代谢性疾病,长期存在可导致各种组织,特别是眼、肾、心脏、血管、神经的慢性损害、功能障碍。3T3-L1细胞——小鼠胚胎成纤维细胞(前脂肪细胞)系具有向脂肪细胞分化的特性,被广泛用于研究糖尿病,肥胖症等。

图1 3T3-L1细胞形态
表1 3T3-L1基础培养信息
| 细胞名称 |
3T3-L1(小鼠胚胎成纤维细胞) |
| 来源 |
18 天左右胎龄的 Swiss 小鼠胚胎 |
| 生长方式 |
贴壁生长 |
| 细胞形态 |
成纤维细胞样 |
| 培养条件 |
95%空气、5%CO2、37℃ |
| 推荐营养体系 |
|
| 传代 |
0.25%Try(abs47014937)消化5-15min 1:3-1:4传代 |
| 冻存液配制 |
完全培养基+5%DMSO(abs9187) |
培养小提示:
1)"Never allow culture to become completely confluent”。细胞汇合度达到70-80%时进行传代;
2)为了避免细胞聚团,在等待细胞消化的过程中,不要通过击打或摇晃瓶子来刺激细胞。难以消化的细胞可以放置在37℃;
3)正常培养(非脂肪诱导期)出现空泡时,请优先考虑环境压力。造成压力的原因包括培养基中缺乏谷氨酰胺、添加抗真菌药物、培养基中二氧化碳、碳酸氢钠浓度不当或培养基的营养物质耗尽;
4)使用胎牛血清可能会造成细胞分化!!!
3T3-L1成脂诱导“鸡尾酒”策略

图2 3T3-L1细胞(正常)和3T3-L1成脂分化后(对照)
一般认为,细胞的增值和分化呈负相关,细胞开启分化必先退出分裂增值周期,常用的方法就是让其生长至融合期,出现接触抑制。脂肪生成是一个将碳水化合物和其他底物转化为脂肪酸,然后作为TAGs(甘油三酯)储存起来的过程。
经典“鸡尾酒”法中,胰岛素样生长因子(IGF-1)激活有丝分裂原蛋白激酶途径诱导细胞分化、cAMP磷酸二酯酶抑制剂(IBMX)通过激活cAMP依赖性蛋白激酶途径增强CCAAT/增强子结合蛋白家族(C/EBPs)、过氧化物酶体增殖物激活受体γ(PPARγ) 表达促进成脂分化、地塞米松促进C/EBPs的表达。
3T3-L1经典成脂诱导过程
诱导步骤:将融合后的3T3-L1(汇合度100%)细胞从DMEM生长培养基切换到含有0.5mmol/L IBMX(abs817348)、10mg/mL胰岛素和1μmol/L地塞米松的分化培养基中48h。然后将细胞维持在含有10%FBS和10 mg/mL胰岛素的DMEM培养基中48h,之后每隔一天更换常规新鲜培养基,一般第九天染色。
PS:不同产品活性纯度不同,浓度仅供参考,不同诱导方案略有差异,IBMX(abs817348)用DMSO溶解时需要超声破碎。
染色:油红O储存液与超纯水按3:2稀释混匀,过滤,避光静置后酒红色且无沉淀,现配现用,2h内用完。
用PBS磷酸缓冲液小心漂洗细胞三次,以2mL/孔(六孔板)的剂量加入4%多聚甲醛,室温固定40min,再用蒸馏水漂洗2次,每孔加入油红O工作液1mL,常温染色15min,蒸馏水漂洗至无残渣,蒸馏水漂洗后加入PBS镜下观察。
PS:清洗细胞时动摇要轻柔,防止脂滴脱落,油红O工作液一定要过滤至无沉淀,否则染色后有残渣且较难冲洗!!!
“鸡尾酒”诱导策略进击版
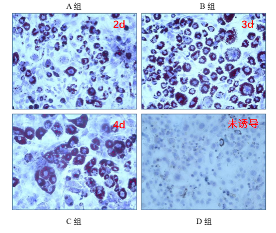
有研究者探索了葡萄糖浓度和诱导液2(含10mg/mL胰岛素的低糖培养基)的作用时间对3T3L1细胞成脂分化率的影响,结果显示,低糖培养基诱导时成熟脂肪细胞形成率明显增高,诱导液2作用时间为3d时,成熟脂肪细胞形成率明显高于其他组。

图3 不同葡萄糖浓度对3T3-L1细胞成脂肪分化的影响
Figure2 Results of different time points during adipogenic differentiation of 3T3-L1 cells

图4 诱导剂II作用时间对3T3-L1细胞成脂肪分化的影响

图5 3T3-L1细胞成脂肪分化过程中不同时间点结果记录(最优条件下)
注:文中图片来源于网络,仅供学习参考用
本期的讲解就到这里啦,感兴趣的老师可以扫码添加细胞交流群。

胞胞巴适本期推荐:
| 货号 |
产品名称 |
规格 |
| DMEM高糖培养基(含L-谷氨酰胺,含丙酮酸钠,不含HEPES) |
500mL |
|
| 新生牛血清(优级) |
500mL |
|
| 青霉素-链霉素溶液(100×,双抗) |
100mL |
|
| 胰蛋白酶消化液(0.25%,含酚红) |
100mL |
|
| 二甲基亚砜(细胞培养级) |
50mL |
|
| IBMX |
25mg |
|
| 油红O染色液-改良型 |
3×20mL |
参考文献
[1] Ling HY, Wen GB, Feng SD, Tuo QH, Ou HS, Yao CH, Zhu BY, Gao ZP, Zhang L, Liao DF. MicroRNA-375 promotes 3T3-L1 adipocyte differentiation through modulation of extracellular signal-regulated kinase signalling. Clin Exp Pharmacol Physiol. 2011 Apr;38(4):239-46. doi: 10.1111/j.1440-1681.2011.05493.x. PMID: 21291493; PMCID: PMC3086632.
Absin特色产品线:
| 爱必信(上海)生物科技有限公司 联系邮箱:info@absin.cn 微信公众号:爱必信生物 |