14 年
手机商铺
公司新闻/正文
372 人阅读发布时间:2023-10-07 13:56
动物活体成像技术主要包括生物发光与荧光发光两种技术。生物发光是利用荧光素酶基因标记DNA,通过基因表达产生的蛋白酶与相应底物发生化学反应产生光信号(图1)。荧光发光采用荧光物质或荧光物质标记的抗体、纳米材料、药物等导入到活体体内,通过外界激发光源激发获取成像。

图1 生物发光活体成像检测原理
通过活体成像技术可以观测活体动物体内肿瘤的生长和转移、炎症的发生、特定基因的表达和药物作用效果等生物学过程。前期小爱介绍了两种活体发光成像技术在科学研究中的应用案例,我们可以根据自己的实验需求结合技术的优缺点(表1)选择合适的体内发光技术。
表1 生物发光与荧光发光成像技术优缺点
| 成像设备 |
优点 |
缺点 |
应用领域 |
| 生物发光成像 |
实时长期监测体内的各种生物学过程; |
成本较高; |
基因表达,细胞、病毒和细菌示踪等。 |
| 荧光成像 |
简单、方便、价廉; |
背景噪音强,灵敏度低; |
基因表达,蛋白和小分子、细胞、病毒和细菌示踪等。 |
本期小爱以生物发光成像实验为例带大家一起学习动物活体成像实验具体操作流程。
一个完整的生物发光活体成像过程包括构建荧光素酶重组质粒、细胞转染和筛选、荧光素酶活性鉴定阳性克隆,再将阳性克隆细胞移植到体内建立动物模型,进而通过小动物活体成像系统检测动物体内特定部位发出的荧光信号。最后取出肿瘤组织,通过染色进行病理形态学分析。
1、构建荧光素酶重组质粒
含荧光素酶的重组质粒根据实验需求可以自己实验室构建,也可以来源于其它实验室惠赠或市售。
2、细胞转染和筛选
常用的细胞转染方法是化学转染法,对于一些较难转染的细胞(如原代细胞、干细胞、不分化的细胞等),可以使用转染增强剂聚凝胺(abs42025397)来提高转染效率。按照转染试剂盒说明书的操作步骤进行转染即可。
为筛选稳定表达目的蛋白的细胞株,需要确定能够杀死未转染宿主细胞的抗生素最低浓度,可以通过建立杀灭曲线来实现,我们以G-418(abs44062790)最佳筛选浓度的确定为例。
1)第一天:处于对数生长期的未转染的细胞按照20-25%的细胞密度(对于需要更高密度来检测活力的细胞,可增加接种量)。铺在合适的培养板上,37℃,CO2培养过夜;
2)根据细胞类型,设定合适范围内的浓度梯度。以哺乳动物细胞为例,可设定0,50,100,200,400,800,1000μg/mL;
3)第二天:去除旧的培养基,换用新鲜配制的含有相应浓度G-418的培养基。每个浓度做三个平行孔;
4) 接下来每3-4天更换新的含G-418的培养基;
5)按照固定的周期(如每2天)进行活细胞计数来确定阻止未转染细胞生长的恰当浓度。选择在理想的天数(通常是7-10天)内能够杀死绝大多数细胞的最低浓度为稳定转染细胞筛选用的工作浓度。
3、荧光素酶活性鉴定阳性克隆
筛选的单一抗性克隆传代至第五代时用多功能酶标仪检测荧光素酶活性。
1)按1×105个/孔接种到24孔板,24h后裂解细胞,12000rpm,4℃离心10min,收集裂解物;
需要注意的是,筛选的阳性克隆细胞数理论上应与发光强度具有线性相关性,并且阳性克隆细胞应和未转染的细胞具有相似的生长趋势。因此,我们在确定阳性克隆细胞系后可以增加这两个验证实验以确保整个实验的完整性和可靠性。
4、动物模型构建
筛选阳性克隆细胞株后,通常需要将细胞注射到动物体内构建模型,通过体内成像观察肿瘤的发生和发展。但是也需要根据肿瘤类型和研究目的,选择最适合的模型。一般肿瘤细胞的注射方式包括以下几种:
表2 常用肿瘤细胞注射方式
| 注射方式 |
操作 |
用途 |
| 皮下 |
注射部位包括侧腹面、背侧面及腋下。 |
为血液及皮肤肿瘤相关研究提供便利。 |
| 腹腔 |
肿瘤细胞注射到小鼠腹腔。通常会引起一定程度的腹水及浸润性转移。 |
适合某些肿瘤转移过程,如卵巢癌。 |
| 尾静脉 |
肿瘤细胞经尾静脉注射,通过肺部的毛细血管网进入动脉血液循环系统,造成全身多发转移灶。 |
常见于血液肿瘤的研究中。 |
| 原位 |
将肿瘤细胞直接注射至原器官,所营造的肿瘤微环境更接近于人体。 |
适用于神经系统肿瘤如脊索瘤、脑胶质瘤等;前列腺癌、卵巢癌等的转移研究。 |
| 脾脏 |
将肿瘤细胞注射在脾脏后通过血液循环转移到肝脏。 |
可以更好地模拟肝转移瘤形成。 |
| 左心室 |
肿瘤细胞经过左心室注射进入小鼠体循环,经过一系列过程,最终造成不同器官的转移。 |
常用于研究骨、脑及乳腺癌转移。 |
小爱以裸鼠皮下移植瘤模型的建立为例,具体实验步骤如下:
1)BALB/c nude裸鼠,4周龄,体重(15±2)g,雌雄各3只;5、病理形态学观察
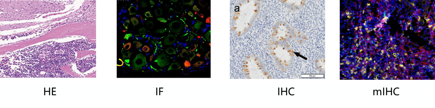
病理形态学观察常见的染色方式有HE、IF、IHC、mIHC等,染色原理及作用如表3,可以根据实验需求选择合适的方法进行染色分析。值得注意的是,随着科学家对疾病的深入探究,越来越多的科研学者更倾向于mIHC染色技术,而且发表的文章影响因子相对较高。
动物活体成像观察结束后,脱颈处死小鼠,取肿瘤组织,制成石蜡切片,切片厚度为3μm,按照试剂盒说明书的操作步骤经染色后观察组织细胞的病理形态。
表3 HE、IF、IHC、mIHC染色方法的区别
| 染色方法 |
染色原理 |
作用 |
| HE:Hematoxylin—伊红染色 |
Hematoxylin为碱性染液,主要使细胞核内的染色质与胞质内的核酸着紫蓝色;伊红为酸性染料,主要使细胞质和细胞外基质中的成分着红色。 |
可显示组织正常与病变的一般形态结构 |
| IF:免疫荧光 |
抗原与抗体特异性结合,将荧光素标记在抗体或抗原上,然后与其对应的抗原或抗体结合。 |
检测组织中蛋白以及特异性细胞的表达分布。 |
| IHC:免疫组化 |
抗原与抗体特异性结合,通过化学反应使标记抗体的显色剂(荧光素、酶、金属离子和同位素)显色。 |
确定组织细胞内抗原,对其进行定位、定性及相对定量。 |
| mIHC:多重荧光免疫组化 |
TSA酪酰胺信号放大技术&抗原与抗体特异性结合,可标记多个靶点(4~7种颜色)。 |
对靶蛋白或核酸进行高密度原位标记,使检测信号几何级放大。 |

(注:本文来源于文献总结,仅供参考)
活体动物光学成像技术让研究人员能够观察活体动物体内的基因表达和细胞活动,是将分子及细胞生物学技术从体外研究发展到活体动物体内的强有力手段,该技术推进了人们对各种生命活动、疾病过程的深入认识,正在被越来越广泛地应用于生物学及医学研究领域。
动物成像荧光染料
| 货号 |
产品名称 |
CAS |
规格 |
| D-荧光素 |
2591-17-5 |
5mg |
|
| D-虫荧光素钠盐 |
103404-75-7 |
100mg |
|
| D-荧光素钾盐 |
115144-35-9 |
100mg |
|
| DiR 碘化物 |
100068-60-8 |
100mg |
|
| Cyanine7 NHS ester |
1432019-64-1 |
1mg |
|
| Cyanine7.5 |
— |
5mg |
细胞处理相关试剂
| 货号 |
产品名称 |
规格 |
| 细胞消化液(干细胞级别) |
100mL |
|
| 胰蛋白酶-EDTA消化液(0.25%) ,含酚红 |
500mL |
|
| 胶原酶II型 |
1g |
|
| 红细胞裂解液,10X |
500mL |
|
| 高糖 DMEM 培养基(含L-谷氨酰胺和丙酮酸钠) |
500mL |
|
| 胎牛血清(优级) |
500mL |
细胞转染相关试剂
| 货号 |
产品名称 |
规格/浓度 |
| 聚凝胺(转染增强剂) |
1mL |
|
| G-418溶液(稳定转染最常用的抗性筛选试剂) |
10mL |
|
| 灭瘟素溶液(筛选携带bsr/BSD基因的转染细胞) |
1mL |
|
| 小核酸转染试剂 |
1mL |
|
| 质粒DNA转染试剂盒(贴壁细胞) |
1.5mL |
|
| 转染专用减血清培养基 |
500mL |
组织染色相关试剂
| 货号 |
产品名称 |
规格 |
| 油红O |
100g |
|
| 姬姆萨染液 |
500mL |
|
| 四色多重荧光免疫组化染色试剂盒(鼠兔二抗) |
20T |
|
| 七色多重荧光免疫组化染色试剂盒plus(鼠兔二抗) |
20T |
|
| 苏木素-伊红(HE)染色试剂盒 |
100mL |
|
| 抗体洗脱液(mIHC专用) |
30mL |
肿瘤细胞抑制剂
| 货号 |
产品名称 |
CAS |
规格 |
| LY 294002 |
154447-36-6 |
100mg |
|
| SB 203580 |
152121-47-6 |
100mg |
|
| Genistein |
446-72-0 |
50mg |
|
| Brefeldin A |
20350-15-6 |
10mg |
|
| Rapamycin |
53123-88-9 |
10mg |
|
| Luminespib |
747412-49-3 |
25mg |
|
| 点击查看更多抑制剂产品 https://www.absin.cn/agonist-inhibitors.html |
|||
* 温馨提示:absin所有产品仅用于科学研究,请勿药物、家用或其他用途。
好消息!Absin文献奖励重磅升级!
Absin特色产品线:
| 爱必信(上海)生物科技有限公司 联系邮箱:info@absin.cn 微信公众号:爱必信生物 |