爱必信(上海)生物科技有限公司品牌商

14

手机商铺

qrcode
商家活跃:
产品热度:
  • NaN
  • 0
  • 0
  • 2
  • 2
Organotial乳腺癌类器官培养基试剂盒
¥6500
品牌商

爱必信(上海)生物科技有限公司

入驻年限:14

  • 联系人:

    爱必信

  • 所在地区:

    上海

  • 业务范围:

    抗体、试剂、ELISA 试剂盒、细胞库 / 细胞培养、技术服务

  • 经营模式:

    生产厂商

在线沟通

公司新闻/正文

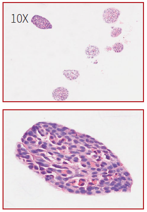
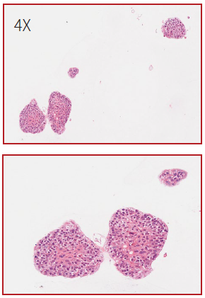
类器官免疫组化鉴定展示

301 人阅读发布时间:2023-05-08 14:02

肺癌类器官免疫组化鉴定展示
 
新闻图片1 新闻图片2 新闻图片3 新闻图片4
HE CK5/6 P63 TTF1
新闻图片5 新闻图片6 新闻图片7 新闻图片8
HE CK5/6 P63 TTF1
    类器官培养试剂盒

货号

品名

规格

abs9514

  Organotial小鼠肠类器官培养基试剂盒

1kit

abs9516

  Organotial小鼠肝类器官培养基试剂盒

1kit

abs9515

  Organotial小鼠肺类器官培养基试剂盒

1kit

abs9517

  Organotial小鼠胰腺类器官培养基试剂盒

1kit

abs9446

  Organotial乳腺癌类器官培养基试剂盒

1kit

abs9448

  Organotial子宫内膜癌类器官培养基试剂盒

1kit

abs9445

  Organotial结直肠癌类器官培养基试剂盒

1kit

abs9444

Organotial肝癌类器官培养基试剂盒

1kit

abs9443

Organotial肺癌类器官培养基试剂盒

1kit

abs9449

Organotial胃癌类器官培养基试剂盒

1kit

abs9447

Organotial胰腺癌类器官培养基试剂盒

1kit

abs9558

Organotial卵巢癌类器官培养基试剂盒

1kit

abs9544

Organotial人正常肝类器官培养基试剂盒

1kit

abs9545

Organotial人正常肠类器官培养基试剂盒

1kit

abs9546

Organotial人正常肺类器官培养基试剂盒

1kit

abs9549

Organotial鼠胃癌类器官培养基试剂盒

1kit

abs9550

Organotial鼠肺癌类器官培养基试剂盒

1kit

abs9551

Organotial鼠乳腺癌类器官培养基试剂盒

1kit

abs9552

Organotial鼠肝癌类器官培养基试剂盒

1kit

abs9553

Organotial鼠胰腺癌类器官培养基试剂盒

1kit



Absin特色产品线:

WB相关:ECL发光液、预染marker、预制胶;IHC相关:二抗试剂盒、组化笔;IP/CoIP试剂盒;激动剂/抑制剂;血清、BSA、蛋白酶K、CTB、TTX、CEE;凋亡试剂盒;呼吸爆发试剂盒;ELISA试剂盒;重组蛋白;抗体: 二抗、标签抗体、对照抗体;定制服务(抗体/多肽/蛋白/标记/检测)...

爱必信(上海)生物科技有限公司

联系邮箱:info@absin.cn

微信公众号:爱必信生物

上一篇

多重荧光免疫组化Q&A(第三弹)

下一篇

类器官药敏检测部分结果展示

更多资讯

我的询价