14 年
手机商铺
公司新闻/正文
706 人阅读发布时间:2022-12-16 17:45
承接上一期的细菌污染,这一期带大家了解真菌污染。真菌主要分为酵母菌、霉菌和蕈。霉菌又主要分为青霉、根霉和曲霉。对于即将踏入细胞房的师弟师妹们,怎样才能更好地规避师兄师姐们曾经遇到的真菌污染问题呢?今天带大家了解主要的真菌污染类型和预防措施吧。
1)肉眼下:

✿ 真菌污染最短3天才能长出椭圆形的霉斑。
✿ 霉斑往往会漂浮在培养液表面,随着时间逐步扩大。
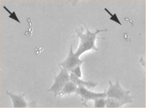
2)显微镜下:

✿ 早期并不会使得培养基变黄变浑浊,但在显微镜下可观察到菌丝体。真菌形成的菌丝呈丝状,管状,树枝状,串珠状。
✿ 酵母菌等,当其行出芽生殖时可从一大一小的连体结构识别。
✿ 细胞被污染后,仍可生长,长时间细胞的活力状态会变差。
✿ 梅雨季时的污染率会提高。

✿ 在显微镜下呈黑色细沙状,或背景有大量黑点。
| 货号 |
产品名称 |
规格 |
| 两性霉素B |
1g |
|
| 制霉菌素 |
1g |
|
| 青霉素-链霉素-两性霉素B混合溶液(100×三抗) |
100ml |
今天的介绍到这里就结束啦~
小伙伴们学会分辨这些污染了吗?
下期我们将继续介绍细胞污染之支原体篇
注:图源网络和客户,仅供参考学习用
Absin特色产品线:
WB相关:ECL发光液、预染marker、预制胶;IHC相关:二抗试剂盒、组化笔;IP/CoIP试剂盒;激动剂/抑制剂;血清、BSA、蛋白酶K、CTB、TTX、CEE;凋亡试剂盒;呼吸爆发试剂盒;ELISA试剂盒;重组蛋白;抗体: 二抗、标签抗体、对照抗体;定制服务(抗体/多肽/蛋白/标记/检测)...
| 爱必信(上海)生物科技有限公司 联系邮箱:info@absin.cn 公众平台:爱必信生物 |