爱必信(上海)生物科技有限公司品牌商

14

手机商铺

qrcode
商家活跃:
产品热度:
  • NaN
  • 0
  • 0
  • 2
  • 2
文献支持
二甲基亚砜(DMSO)(细胞培养级),亚硫酰基双甲烷,67-68-5
¥189
品牌商

爱必信(上海)生物科技有限公司

入驻年限:14

  • 联系人:

    爱必信

  • 所在地区:

    上海

  • 业务范围:

    抗体、试剂、ELISA 试剂盒、细胞库 / 细胞培养、技术服务

  • 经营模式:

    生产厂商

在线沟通

公司新闻/正文

细胞培养之清洁大作战

701 人阅读发布时间:2022-09-06 08:54

养细胞的人往往谈“污”色变,明明已经小心谨慎,明明已经步步为营,恨不得戴着显微镜操作,发现污染则前功尽弃。除了在操作过程中保证严格无菌以外,做好培养器具的清洁以及预防培养基污染更是至关重要。
 
如何判断细胞污染?
 
 1、培养基浑浊,可以初步判断是细菌污染。
 2、培养基不浑浊,有丝状物质可以初步判断是真菌污染。
 3、培养基不浑浊、没有丝状物质,但是细胞状态变差,生长变慢,在显微镜下观察可能会有小黑点,是细胞凋亡坏死,释放出大量碎片,看起来就像黑胶虫,细胞传代以后就出现细胞间黑点,细胞空泡化,很多类似凋亡、坏死的细胞,最终细胞漂浮,完全死亡。
新闻图片1
培养环境大扫除
 
细胞房、培养箱、水盘、水浴锅...除了是细胞生长的温床,同时也是孕育杂菌的温床,因此养细胞之前,我们要对它们进行彻彻底底的大扫除!
Absin为您提供安全、彻底、又高效的除菌全家桶,包含水浴锅抑菌剂(abs9371)、培养箱除菌剂(abs9372)、细胞房除菌剂(abs9373)、水盘抑菌剂(abs9374),由乳链菌肽、纳他霉素、尼泊金酯类、水等组成,无挥发性,分散均匀,热稳定性高。这套试剂能在湿度较大的条件下杀死常见的毛霉、黑霉、青霉、交链孢霉等霉菌孢子,并能抑制大多数的真菌和细菌生长,如大肠杆菌、枯草芽孢杆菌等。 新闻图片2
 
除菌案例:
 
抑制枯草芽孢杆菌
 
加入除菌试剂后,可以显著抑制枯草芽孢杆菌的生长
新闻图片3
抑制霉菌
 
接种 106 cfu/mL的霉菌至霉菌培养基上,待菌长满后,实验组1、2分别喷洒水浴锅抑菌剂(abs9371)、培养箱除菌剂(abs9372)、细胞房除菌剂(abs9373)、水盘抑菌剂(abs9374),实验组3喷洒无菌水。
新闻图片4喷洒试剂前 新闻图片5喷洒试剂等待24h后 
 
与常见清洁试剂对比:

清洁试剂

优劣势

酒精

有刺激性气味,只能用于擦拭物体表面,不可以用于水盘和水浴锅,且只能抑制微生物生长,不能杀灭,要杀灭需要长时间浸泡,已经污染真菌的实验室用酒精消毒效果不明显

甲醛

有刺激性气味有毒致癌

饱和硫酸铜

只能用于水盘且有腐蚀性

新洁尔灭

苯扎溴铵,对革兰阳性细菌作用较强,但对绿脓杆菌、抗酸杆菌和细菌芽孢无效

84消毒液

有一定的刺激性与腐蚀性,有挥发性。

Absin清洁系列

发酵产品、无气味、无刺激性、无毒性、热稳定、无挥发性、安全环保。具有广谱和高效性,对真菌和细菌都有杀灭作用。

 
保卫细胞,消灭支原体
 
比杂菌污染更棘手的则是支原体污染,它也是是细胞培养领域的一个世界性问题,世界各国细胞系支原体污染的平均比例为30-60%。支原体的直径约为 0.1-0.3μm,这也就意味着它们可以透过常见的滤膜(0.22-0.45μm),因此常规的无菌过滤方法不能将其去除,而常用的抗生素也对支原体无效。
新闻图片6 新闻图片7
当支原体污染发生后,它们不会使细胞死亡,甚至能与细胞长期共存,也不会使培养基发生浑浊,细胞外观上看起来也不会有明显变化,实际上却埋下了“隐疾”。支原体在潜移默化中悄悄引起细胞变形,影响DNA合成,抑制细胞生长,竞争营养,分泌有害代谢产物,迅速降低培养液中的葡萄糖,形成酸从而改变Ph值;消耗精氨酸、抑制蛋白合成、细胞分裂减慢、停止生长等,最终影响实验结果。
 
Absin支原体清除试剂&预防试剂

类型

支原体清除剂(abs9375

支原体预防剂(abs9376

有效成分

多肽

工作原理

1、支原体和细菌带负电荷,多肽带正电荷,互相吸引。

2、多肽作用于支原体细胞膜,使其穿孔,改变渗透压。

3、支原体对渗透压敏感,渗透压的突变可致细胞破裂死亡。

优势

1、相较于抗生素类,本品无耐药性

2、无二次污染,随着培养时间的延长,会被缓慢降解为氨基酸

3、细胞毒性小,已在多种细胞上进行过验证

区别

·100%清除支原体的污染;

·完全清除支原体,只需3-6天;

·清除血清、培养基中支原体污染;

 

·100%预防支原体的污染;

·广谱性,替代双抗;

·用于预防血清、培养基污染;

·用于发酵、细胞治疗等领域;

使用范围

污染后清除支原体,部分敏感细胞,推荐1:2000处理6天

培养之前预防支原体污染


案例:
 
清除猪IPEC-J2细胞中的支原体
支原体清除剂(abs9375)处理猪IPEC-J2细胞3天后,采用Hocest33342染色法对处理前后的细胞进行染色。
新闻图片8
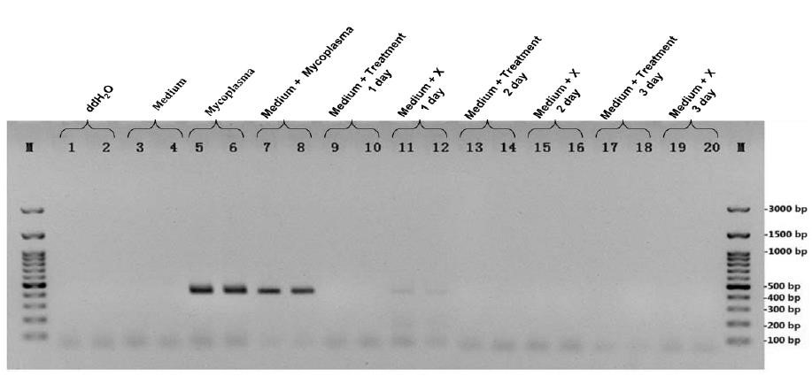
Absin支原体清除试剂与抗生素类清除试剂对比
新闻图片9
400bp左右有条带的为支原体污染。下图是被支原体污染后经支原体清除剂(abs9375)(9、10 条带)和抗生素类试剂(11、12)处理后效果的对比。

 
相关产品

货号

品名

规格

货期

abs9371

水浴锅抑菌剂

100ml

现货

abs9372

培养箱除菌剂

480ml

现货

abs9373

细胞房除菌剂

480ml

现货

abs9374

水盘抑菌剂

20ml

现货

abs9375

支原体清除剂

200ul/200ul*5

现货

abs9376

支原体预防剂

500ul*4

现货

 

 Absin特色产品线:
WB相关:ECL发光液、预染marker、预制胶;IHC相关:二抗试剂盒、组化笔;IP/CoIP试剂盒;激动剂/抑制剂;血清、BSA、蛋白酶K、CTB、TTX、CEE;凋亡试剂盒;呼吸爆发试剂盒;ELISA试剂盒;重组蛋白;抗体: 二抗、标签抗体、对照抗体;定制服务(抗体/多肽/蛋白/标记/检测)...

 

爱必信(上海)生物科技有限公司

联系邮箱:info@absin.cn

公众平台:爱必信生物

上一篇

新学期新起点|Absin 产品引用文献超过3000篇!

下一篇

9月开学季|全线试剂盒、抗体、分子生物学系列产品7折大促

更多资讯

我的询价