Forskolin可能对NF1患者的神经细胞生长有治疗作用
Forskolin能够促进脂肪细胞中的cAMP产生进而抑制嗜碱性粒细胞和肥大细胞脱颗粒作用以及组胺释放,能够降低血压、眼内压,抑制血小板聚集,促进血管舒张,支气管扩张和甲状腺激素分泌,刺激脂肪分解等。
另有研究表明Forskolin可能对NF1(1型神经纤维瘤病)患者的神经细胞生长有治疗作用。在健康的iN细胞中(HC-iN),许多细胞呈神经元样球形,而来自于NF1患者的iN细胞多呈扁平薄(NF1-iN)。研究团队用Forskolin处理患者的iN细胞,短短20分钟就促进它们从扁平形态转变为球形形态(如下图)。[1]
靶向治疗癌症的热门抑制剂——AG 490
AG 490又称Tyrphostin AG 490或Tyrphostin B42,是一种可以通透细胞膜的JAK-2蛋白酪氨酸激酶抑制剂,对其他激酶如Lck、Lyn、Btk、Syk、Src活性无明显影响。它可以抑制IL-2诱导的细胞分裂并诱导一些肿瘤细胞的凋亡;能选择性地抑制CDK2的激活,导致细胞周期停滞在G1晚期和S期;可阻断IL-7诱导的T细胞中JAK-1和JAK-3激活,以及后续PI-3 kinase的磷酸化;还可以抑制EGF受体的自身磷酸化、DNA合成和细胞增殖。
AG 490通过选择性阻断JAK-2能够抑制下游STAT-3的活化,而STAT-3与肿瘤细胞增殖密切相关,因此AG-490也成为靶向治疗癌症的热门抑制剂。研究团队通过体外实验和体外实验,发现用AG 490处理后,PC3细胞和DU145细胞的增殖、侵袭能力降低(图1);以40mg/kg的剂量,每3天1次用AG 490局部注射荷瘤小鼠,发现相较于空白对照组和DMSO组,给药组肿瘤相关指标的表达明显降低(图2)[2]。
 图1 |
 图2 |
SP600125抑制JNK信号可减轻APAP诱导的肝损伤
SP600125是一种广谱JNK抑制剂,作用于JNK1、JNK2和JNK3,比作用于MKK4选择性高10倍,比作用于MKK3,MKK6,PKB,和PKCα选择性高25倍,比作用于ERK2,p38,Chk1,EGFR等选择性高100倍。SP600125还是一种广谱的serine/threonine kinases抑制剂,包括Aurora kinase A、FLT3和TRKA,对应的IC50值为60 nM、90 nM和70 nM。SP600125可抑制自噬而激活细胞凋亡。
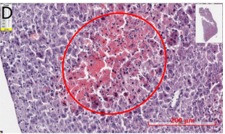
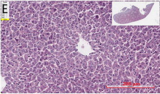
在西方国家,药物诱导肝损伤(DILI)是导致急性肝功能衰竭的主要原因,对乙酰氨基酚(APAP)作为一种常用的镇痛解热药,过量使用会导致急性肝功能衰竭。研究显示,APAP诱导的肝损伤与JNK信号通路的激活有关,用SP600125抑制JNK信号可减轻APAP诱导的小鼠肝损伤,降低氧化应激和细胞凋亡水平,降低过量APAP引起的GSTA1含量和表达的变化[3]。
 APAP处理 |
 SP600125+APAP处理 |
U0126——抗癌靶向药研究
U0126是一种选择性、非竞争性的MAPK激酶抑制剂,作用于MEK1和MEK2,IC50分别是70 nM和60 nM,比PD 98059的抑制活性高100倍左右,而对其他MAPK激酶如PKC、Ab1、Raf、MEKK、ERK和JNK等没有或微弱抑制作用。U0126具有抗炎症作用,能够抑制AP-1转录,并抑制多种参与炎症反应的细胞因子和金属蛋白酶活性。在小鼠哮喘模型中,U0126显著抑制OVA诱导的总细胞数增加,并显著降低血清中总IgE、OVA特异的IgE和IgG1水平,组化结果显示,U0126明显抑制OVA诱导的肺组织嗜酸细胞增多,及VCAM-1表达。
作为MEK/ERK信号通路的抑制剂,U0126也有成为抗癌靶向药的潜力。如在食管胃交界处腺癌(AEG),研究人员分别用MEK激活剂(PAF C-16)、MEK抑制剂(U0126)以及HBE处理OE19和SK-GT-4细胞,结果显示U0126明显减弱了AEG细胞的迁移和侵袭能力,HBE的加入进一步增强了U0126对AEG细胞的作用(如下图)[4]。
PD 98059 在慢性高原、结直肠癌研究中的应用
PD 98059是非ATP竞争性MEK抑制剂,IC50为2uM,能特异地抑制MEK-1-介导的MAPK活化,间接抑制ERK1和ERK2,阻断下游信号传导。
一项研究表明,PD 98059对慢性高原病患者骨髓有核红细胞部分指标表达影响,韩园芳,冀林华[5]等人应用不同剂量的 PD 98059 处理骨髓有核红细胞,用WB法检测 P-BRaf、P-MEK、P-ERK1 /2蛋白的表达,显示PD 98059浓度20 umol /L时,P-ERK1/ 2蛋白表达较其它组明显降低。实验表明,PD 98059主要作用于MEK的下游信号传导,而对Raf、Ras、MEK蛋白的表达并无显著影响。
另一项研究表明PD 98059对结直肠癌细胞HT29增殖抑制和凋亡促进的作用,从下图一可见,PD 98059对HT29的增殖有明显的抑制作用,且浓度越高,抑制作用越强;图二显示PD 98059对HT29的凋亡有促进作用,浓度越高,促进作用越强。图三则显示了,PD 98059对HT29细胞中相关蛋白的表达有作用,且作用强度随浓度变化而变化,对促进细胞增殖的cyclin D1蛋白表达表现为抑制,对促进细胞凋亡的caspase-3蛋白及促进细胞衰老的p21蛋白的表达都表现为促进作用。[6]
TGF-β受体抑制剂——SB-431542
SB-431542是一种已知的Src家族激酶抑制剂,可有效抑制由生长因子β1诱导的细胞在原发和继发性癌细胞中的迁移和侵袭得增长过程。是强效的TGF-β抑制剂。是一种有效的,选择性ALK5抑制剂,无细胞试验中IC50为94 nM,对ALK5的作用比对p38、MAPK和其他激酶强100倍。
在德国葛兰素史克公司Marcus Bantscheff和H. Christian Eberl团队的研究中,他们利用细胞表面热敏蛋白质组分析,以全面表征配体诱导质膜中蛋白质丰度和热稳定性的变化。研究证明药物结合到细胞外受体和转运蛋白导致刺激依赖性T细胞受体复合物的重塑,并描述了基于竞争的方法来测量G蛋白偶联受体拮抗剂的靶标。在TGF-β受体抑制剂SB431542的处理下,质膜蛋白质组重塑导致单羧酸盐转运蛋白MCT1/3部分内化,从而解释了该药物的抗转移作用。[7]
Absin 部分小分子化合物限量促销
全部现货,售完即止!
| 货号 |
商品名 |
规格 |
目录价 |
促销价 |
| abs810050 |
Forskolin |
5mg/25mg/100mg |
595/807/1728 |
179/242/518 |
| abs810014 |
AG 490 |
25mg |
814 |
244 |
| abs810008 |
SP600125 |
10mg/50mg |
546/772 |
164/232 |
| abs810003 |
U0126 |
5mg/25mg/50mg/100mg |
441/1323/2205/3528 |
132/397/662/1058 |
| abs810010 |
PD 98059 |
5mg/10mg |
463/576 |
139/173 |
| abs810481 |
SB-431542 |
5mg/10mg/50mg |
441/633/2756 |
132/190/827 |
参考文献
[1]Sagata N, Kano SI, Ohgidani M, Inamine S, Sakai Y, Kato H, Masuda K, Nakahara T,
Nakahara-Kido M, Ohga S, Furue M, Sawa A, Kanba S, Kato TA. Forskolin rapidly enhances neuron-like morphological change of directly induced-neuronal cells from neurofibromatosis type 1 patients. Neuropsychopharmacol Rep. 2020 Dec;40(4):396-400. doi: 10.1002/npr2.12144. Epub 2020 Oct 10. PMID: 33037790; PMCID: PMC7722681.
[2]Tan G, Jiang L, Li G, Bai K. ESTAT3 Inhibitor AG-490 Inhibits the Growth of Prostate Cancer by miR-503-5p Both In Vivo and In Vitro. Technol Cancer Res Treat. 2020 Jan-Dec;19:1533033820948062. doi: 10.1177/1533033820948062. PMID: 33063634; PMCID: PMC7580129.
[3]Shi C, Hao B, Yang Y, Muhammad I, Zhang Y, Chang Y, Li Y, Li C, Li R, Liu F. JNK Signaling Pathway Mediates Acetaminophen-Induced Hepatotoxicity Accompanied by Changes of Glutathione S-Transferase A1 Content and Expression. Front Pharmacol. 2019 Sep 20;10:1092. doi: 10.3389/fphar.2019.01092. PMID: 31620005; PMCID: PMC6763582.
[4]Yuan L, Mo SW, Xu ZY, Lv H, Xu JL, Guo KB, Hu C, Wang XF, Chen GP, Qin JJ, Cheng XD. p-MEK expression predicts prognosis of patients with adenocarcinoma of esophagogastric junction (AEG) and plays a role in anti-AEG efficacy of Huaier. Pharmacol Res. 2021 Mar;165:105411. doi: 10.1016/j.phrs.2020.105411. Epub 2021 Jan 2. PMID: 33401002.
[5]韩园芳,冀林华,冯婷婷,刘芳,崔森,苏娟.ERK1/2信号通路阻断剂PD98059对慢性高原病患者骨髓有核红细胞中Ras、BRaf、MEK、ERK1/2表达的影响[J].中国实验血液学杂志,2017,25(05):1571-1575.
[6]杨扬,夏冬琴,王维.抑制剂PD98059阻断MAPK/ERK信号通路对结直肠癌细胞增殖抑制和凋亡促进作用的研究[J].结直肠肛门外科,2019,25(06):657-661+667.
[7]Kalxdorf M, Günthner I, Becher I, Kurzawa N, Knecht S, Savitski MM, Eberl HC, Bantscheff M. Cell surface thermal proteome profiling tracks perturbations and drug targets on the plasma membrane. Nat Methods. 2021 Jan;18(1):84-91. doi: 10.1038/s41592-020-01022-1. Epub 2021 Jan 4. PMID: 33398190.
Absin特色产品线:
WB相关:ECL发光液、预染marker、预制胶;IHC相关:二抗试剂盒、组化笔;IP/CoIP试剂盒;激动剂/抑制剂;血清、BSA、蛋白酶K、CTB、TTX、CEE;凋亡试剂盒;呼吸爆发试剂盒;ELISA试剂盒;重组蛋白;抗体: 二抗、标签抗体、对照抗体;定制服务(抗体/多肽/蛋白/标记/检测)...
| 爱必信(上海)生物科技有限公司 联系邮箱:info@absin.cn 公众平台:爱必信生物 |
|